Ajaya Kumar A. Unnithan; Joe M Das; Parth Mehta.
Affiliations
1 Muthoot Hospital, Kozhencherry
2 Bahrain Specialist Hospital, Juffair, Bahrain
Εισαγωγή
Το Αγγειακό Εγκεφαλικό Επεισόδιο (ΑΕΕ) - [Cerebrovascular accident (CVA)], που απλά αποκαλείται εγκεφαλικό (stroke), είναι η τρίτη κύρια αιτία νοσηρότητας και θνητότητας σε πολλές ανεπτυγμένες χώρες.
Το ΑΕΕ μπορεί να είναι είτε ισχαιμικό ή αιμορραγικό.
Το Ισχαιμικό ΑΕΕ οφείλεται σε διακοπή της αιματικής τροφοδοσίας σε μια περιοχή του εγκεφάλου και αποτελεί τον πιο συνηθισμένο τύπο ΑΕΕ στην κλινική πράξη.
Το Αιμορραγικό ΑΕΕ οφείλεται σε αιμορραγία εντός του εγκεφάλου από ρήξη αιμοφόρου αγγείου. Το Αιμορραγικό ΑΕΕ μπορεί περαιτέρω να υποδιαιρεθεί σε Ενδοεγκεφαλική Αιμορραγία [Intracerebral hemorrhage (ICH)] και σε Υπαραχνοειδή Αιμορραγία [Subarachnoid hemorrhage (SAH)]. Στην πρώτη περίπτωση η αιμορραγία συμβαίνει εντός του εγκεφαλικού παρεγχύματος ενώ στη δεύτερη εντός του υπαραχνοειδούς χώρου.
Το Αιμορραγικό ΑΕΕ σχετίζεται με βαριά νοσηρότητα (severe morbidity) και υψηλή θνητότητα (high mortlaity).[1]
Η επέκταση της αιμορραγίας σχετίζεται με χειρότερη έκβαση (worse outcomes).
Η έγκαιρη διάγνωση και θεραπευτική αντιμετώπιση είναι πολύ σημαντικές δοθέντος ότι συχνά συμβαίνει ταχεία επέκταση της αιμορραγίας η οποία προκαλεί αιφνίδια επιδείνωση του επιπέδου συνείδησης και νευρολογική δυσλειτουργία.
Affiliations
1 Muthoot Hospital, Kozhencherry
2 Bahrain Specialist Hospital, Juffair, Bahrain
Εισαγωγή
Το Αγγειακό Εγκεφαλικό Επεισόδιο (ΑΕΕ) - [Cerebrovascular accident (CVA)], που απλά αποκαλείται εγκεφαλικό (stroke), είναι η τρίτη κύρια αιτία νοσηρότητας και θνητότητας σε πολλές ανεπτυγμένες χώρες.
Το ΑΕΕ μπορεί να είναι είτε ισχαιμικό ή αιμορραγικό.
Το Ισχαιμικό ΑΕΕ οφείλεται σε διακοπή της αιματικής τροφοδοσίας σε μια περιοχή του εγκεφάλου και αποτελεί τον πιο συνηθισμένο τύπο ΑΕΕ στην κλινική πράξη.
Το Αιμορραγικό ΑΕΕ οφείλεται σε αιμορραγία εντός του εγκεφάλου από ρήξη αιμοφόρου αγγείου. Το Αιμορραγικό ΑΕΕ μπορεί περαιτέρω να υποδιαιρεθεί σε Ενδοεγκεφαλική Αιμορραγία [Intracerebral hemorrhage (ICH)] και σε Υπαραχνοειδή Αιμορραγία [Subarachnoid hemorrhage (SAH)]. Στην πρώτη περίπτωση η αιμορραγία συμβαίνει εντός του εγκεφαλικού παρεγχύματος ενώ στη δεύτερη εντός του υπαραχνοειδούς χώρου.
Το Αιμορραγικό ΑΕΕ σχετίζεται με βαριά νοσηρότητα (severe morbidity) και υψηλή θνητότητα (high mortlaity).[1]
Η επέκταση της αιμορραγίας σχετίζεται με χειρότερη έκβαση (worse outcomes).
Η έγκαιρη διάγνωση και θεραπευτική αντιμετώπιση είναι πολύ σημαντικές δοθέντος ότι συχνά συμβαίνει ταχεία επέκταση της αιμορραγίας η οποία προκαλεί αιφνίδια επιδείνωση του επιπέδου συνείδησης και νευρολογική δυσλειτουργία.
Αιτιολογία
Η Αρτηριακή Υπέρταση είναι η πιο συχνή αιτία του Αιμορραγικου ΑΕΕ.[2]
Η μακροχρόνια Υπέρταση προκαλεί εκφύλιση του μέσου χιτώνα, ρήξη ελαστικού χιτώνα και διαμερισμό των λείων μυϊκών ινών των αρτηριών.
Λιποϋαλίνωση, νέκρωση ινιδίων του υποενδοθηλίου, μικροανευρύσματα και εστιακές διατάσεις τοιχωμάτων παρατηρούνται στα αρτηρίδια.
Οι συνηθισμένες θέσεις ενδοεγκεφαλικής αιμορραγίας που προκαλείται από την Υπέρταση είναι οι μικρές διεισδυτικές αρτηρίες που εξορμώνται από τις βασικές ή τις πρόσθιες, μέσες ή οπίσθιες εγκεφαλικές αρτηρίες.
Μικροί κλάδοι αρτηριών διαμέτρου 50 έως 700 μm συχνά έχουν πολλαπλές θέσεις ρήξης με συσσώρευση αιμοπεταλίων και ινώδους.
Οξεία αύξηση της Αρτηριακή Πίεσης προκαλεί μη-λοβιακή ενδοκράνια αιμορραγία [non-lobar intracranial hemorrhage], όπως αυτό συμβαίνει στην Εκλαμψία, όπου η οξεία Υπέρταση προκαλεί ενδοεγκεφαλική αιμορραγία, η οποία αποκαλείται και επιλόχεια εγκεφαλική αιμορραγία (Post-Partum Intracerebral Hemorrhage).
Η μακροχρόνια Υπέρταση προκαλεί εκφύλιση του μέσου χιτώνα, ρήξη ελαστικού χιτώνα και διαμερισμό των λείων μυϊκών ινών των αρτηριών.
Λιποϋαλίνωση, νέκρωση ινιδίων του υποενδοθηλίου, μικροανευρύσματα και εστιακές διατάσεις τοιχωμάτων παρατηρούνται στα αρτηρίδια.
Οι συνηθισμένες θέσεις ενδοεγκεφαλικής αιμορραγίας που προκαλείται από την Υπέρταση είναι οι μικρές διεισδυτικές αρτηρίες που εξορμώνται από τις βασικές ή τις πρόσθιες, μέσες ή οπίσθιες εγκεφαλικές αρτηρίες.
Μικροί κλάδοι αρτηριών διαμέτρου 50 έως 700 μm συχνά έχουν πολλαπλές θέσεις ρήξης με συσσώρευση αιμοπεταλίων και ινώδους.
Οξεία αύξηση της Αρτηριακή Πίεσης προκαλεί μη-λοβιακή ενδοκράνια αιμορραγία [non-lobar intracranial hemorrhage], όπως αυτό συμβαίνει στην Εκλαμψία, όπου η οξεία Υπέρταση προκαλεί ενδοεγκεφαλική αιμορραγία, η οποία αποκαλείται και επιλόχεια εγκεφαλική αιμορραγία (Post-Partum Intracerebral Hemorrhage).
Εγκεφαλική Αγγειοπάθεια από Αμυλοειδές - [Cerebral amyloid angiopathy (CAA)].
Είναι μια σημαντική αιτία πρωτοπαθούς λοβιακής ενδοεγκεφαλικής αιμορραγίας σε ηλικιωμένους ασθενείς.[3]
Χαρακτηρίζεται από εναπόθεση του πεπτιδίου του αμυλοειδούς-β στα τριχοειδή, αρτηρίδια και στις αρτηρίες μικρού και μέσου διαμετρήματος στον εγκεφαλικό φλοιό, στις λεπτομήνιγγες και στην παρεγκεφαλίδα.
Προκαλεί ενδοεγκεφαλική αιμορραγία στους υπερήλικες, και συνήθως συσχετίζεται με παραλλαγές του γονιδίου αποκωδικοποίησης της απολιποπρωτεΐνης Ε.
Μπορεί να εκδηλωθεί ως οικογενές σύνδρομο σε νεαρής ηλικίας ασθενείς και τυπικά σχετίζεται με μεταλλάξεις στο γονίδιο αποκωδικοποίησης της πρόδρομης πρωτεΐνης του αμυλοειδούς.
Η συχνότητα εμφάνισης της Εγκεφαλικής Αγγειοπάθειας από Αμυλοειδές (ΕΑΑ) αυξάνεται με την ηλικία σε σημείο που γύρω στο 50% των ατόμων άνω των 70 ετών να έχουν ΕΑΑ που συχνά εκδηλώνονται κλινικά ως υποτροπιάζουσες αιμορραγίες.
Είναι μια σημαντική αιτία πρωτοπαθούς λοβιακής ενδοεγκεφαλικής αιμορραγίας σε ηλικιωμένους ασθενείς.[3]
Χαρακτηρίζεται από εναπόθεση του πεπτιδίου του αμυλοειδούς-β στα τριχοειδή, αρτηρίδια και στις αρτηρίες μικρού και μέσου διαμετρήματος στον εγκεφαλικό φλοιό, στις λεπτομήνιγγες και στην παρεγκεφαλίδα.
Προκαλεί ενδοεγκεφαλική αιμορραγία στους υπερήλικες, και συνήθως συσχετίζεται με παραλλαγές του γονιδίου αποκωδικοποίησης της απολιποπρωτεΐνης Ε.
Μπορεί να εκδηλωθεί ως οικογενές σύνδρομο σε νεαρής ηλικίας ασθενείς και τυπικά σχετίζεται με μεταλλάξεις στο γονίδιο αποκωδικοποίησης της πρόδρομης πρωτεΐνης του αμυλοειδούς.
Η συχνότητα εμφάνισης της Εγκεφαλικής Αγγειοπάθειας από Αμυλοειδές (ΕΑΑ) αυξάνεται με την ηλικία σε σημείο που γύρω στο 50% των ατόμων άνω των 70 ετών να έχουν ΕΑΑ που συχνά εκδηλώνονται κλινικά ως υποτροπιάζουσες αιμορραγίες.
Άλλοι σημαντικοί Παράγοντες Κινδύνου.
Κάπνισμα και μέτρια έως υπερβολική κατανάλωση αλκοόλης, και χρόνιος αλκοολισμός αποτελούν σημαντικούς παράγοντες κινδύνου.
Χρόνια Ηπατοπάθεια επίσης αυξάνει τις πιθανότητες εμφάνισης ενδοεγκεφαλικής αιμορραγίας λόγω της διαταραγμένης πηκτικότητας και της θρομβοκυττοπενίας.
Μειωμένα επίπεδα ολικής και LDL χοληστερόλης και τριγλυκεριδίων στο αίμα θεωρούνται παράγοντες κινδύνου για ενδοεγκεφαλική αιμορραγία.
Η διπλή αντιαιμοπεταλιακή θεραπεία σχετίζεται με αυξημένο κίνδυνο ενδοεγκεφαλικής αιμορραγίας σε σχέση με την μονοθεραπεία.
Συμπαθομιμητικά όπως κοκαΐνη, ηρωΐνη, αμφεταμίνη, εφεδρίνη, και φαινυλοπροπανολαμίνη σχετίζονται με αυξημένο κίνδυνο εμφάνισης εγκεφαλικής αιμορραγίας.
Κάπνισμα και μέτρια έως υπερβολική κατανάλωση αλκοόλης, και χρόνιος αλκοολισμός αποτελούν σημαντικούς παράγοντες κινδύνου.
Χρόνια Ηπατοπάθεια επίσης αυξάνει τις πιθανότητες εμφάνισης ενδοεγκεφαλικής αιμορραγίας λόγω της διαταραγμένης πηκτικότητας και της θρομβοκυττοπενίας.
Μειωμένα επίπεδα ολικής και LDL χοληστερόλης και τριγλυκεριδίων στο αίμα θεωρούνται παράγοντες κινδύνου για ενδοεγκεφαλική αιμορραγία.
Η διπλή αντιαιμοπεταλιακή θεραπεία σχετίζεται με αυξημένο κίνδυνο ενδοεγκεφαλικής αιμορραγίας σε σχέση με την μονοθεραπεία.
Συμπαθομιμητικά όπως κοκαΐνη, ηρωΐνη, αμφεταμίνη, εφεδρίνη, και φαινυλοπροπανολαμίνη σχετίζονται με αυξημένο κίνδυνο εμφάνισης εγκεφαλικής αιμορραγίας.
Εγκεφαλικές Μικρο-αιμορραγίες [Cerebral microbleeds - (CMBs)] σχετίζονται με Υπέρταση, Σακχαρώδη Διαβήτη, και Κάπνισμα.
Η μεγάλη ηλικία και το άρρεν φύλο. Η συχνότητα εμφάνισης ενδοεγκεφαλικής αιμορραγίας αυξάνει μετά την ηλικία των 55 ετών. Ο σχετικός κίνδυνος μετά την ηλικία των 70 ετών ανέρχεται σε 7.
Η μεγάλη ηλικία και το άρρεν φύλο. Η συχνότητα εμφάνισης ενδοεγκεφαλικής αιμορραγίας αυξάνει μετά την ηλικία των 55 ετών. Ο σχετικός κίνδυνος μετά την ηλικία των 70 ετών ανέρχεται σε 7.
Οι όγκοι που είναι πιο επιρρεπείς σε αιμορραγία είναι το γλοιβλάστωμα, το λέμφωμα, οι μεταστατικοί όγκοι, το μηνιγγίωμα, το αδένωμα της υπόφυσης και το αιμαγγειοβλάστωμα.
Οι συνηθισμένες αιτίες της μη-τραυματικής (αυτόματης) υπαραχνοειδούς αιμορραγίας είναι η ρήξη ανευρύσματος, αρτηριοφλεβικές δυσπλασίες, η αγγειΐτις, ο διαχωρισμός εγκεφαλικής αρτηρίας, η θρόμβωση του επισκληρίδιου φλεβικού κόλπου, και η αποπληξία της υπόφυσης. Παράγοντες κινδύνου για αυτές τις καταστάσεις αποτελούν η υπέρταση, η αγωγή με από του στόματος αντισυλληπτικά, η κατάχρηση ουσιών και η εγκυμοσύνη.
Η Ενδοκράνια Αιμορραγία της Κύησης [Intracranial hemorrhage of pregnancy (ICHOP)] (ενδοεγκεφαλική ή υπαραχνοειδής) συμβαίνει στην εκλαμψία. Οφείλεται στην απώλεια της αυτορύθμισης των εγεκφαλικών αγγείων (loss of cerbrovascular autoregulation).
Επιδημιολογικά Δεδομένα
Το Αιμορραγικό ΑΕΕ συνυσφέρει στο 10% - 20% του συνολικού αριθμού εγκεφλαικών επεισοδίων ετησίως [4][1][5]
Το ποσοστό του αιμορραγικού ΑΕΕ είναι 8-15% στις ΗΠΑ, Ηνωμένο Βασίλειο και Αυστραλία και 18% - 24% στην Ιαπωνία και Κορέα.
Η συχνότητα κυμαίνεται γύρω στο 12% έως 15% περιπτώσεις ανά 100.000 ετησίως. Η συχνότητα είναι αυξημένη σε χώρες χαμηλού έως μέτριου κατά κεφαλήν εισοδήματος και στους Ασιάτες.
Είναι πιο συχνό στους άρρενες και η συχνότητα αυξάνεται με την ηλικία.
Η συχνότητα σε παγκόσμιο επίπεδο αυξάνεται, κυρίως δε σε χώρες της Αφρικής και της Ασίας. Δεδομένα από την Ιαπωνία δείχνουν ότι ο έλεγχος της υπέρτασης μειώνει την συχνότητα της ενδοεγκεφαλικής αιμορραγίας. Η θνητότητα περίπτωσης (case fatality) κυμαίνεται γύρω στο 25% έως 30% σε χώρες υψηλού κατά κεφαλήν εισοδήματος, και 30% έως 48% σε χώρες χαμηλού κατά κεφαλήν εισοδήματος. Η θνητότητα περίπτωσης στην ενδοεγκεφαλική αιμορραγία εξαρτάται από την διαθεσιμότητα και την αποτελεσματικότητα υπηρεσίας ΜΕΘ.
Παθοφυσιολογικά Δεδομένα
Οι συνηθισμένες θέσεις αιμορραγίας είναι τα βασικά γάγγλια (50%), οι λοβοί του εγκεφάλου (10% - 20%), ο θάλαμος (15%), η γέφυρα και το εγκεφαλικό στέλεχος (10% - 20%), και η παρεγκεφαλίδα (10%) (φωτ.1,2,3)[1]
Επιδημιολογικά Δεδομένα
Το Αιμορραγικό ΑΕΕ συνυσφέρει στο 10% - 20% του συνολικού αριθμού εγκεφλαικών επεισοδίων ετησίως [4][1][5]
Το ποσοστό του αιμορραγικού ΑΕΕ είναι 8-15% στις ΗΠΑ, Ηνωμένο Βασίλειο και Αυστραλία και 18% - 24% στην Ιαπωνία και Κορέα.
Η συχνότητα κυμαίνεται γύρω στο 12% έως 15% περιπτώσεις ανά 100.000 ετησίως. Η συχνότητα είναι αυξημένη σε χώρες χαμηλού έως μέτριου κατά κεφαλήν εισοδήματος και στους Ασιάτες.
Είναι πιο συχνό στους άρρενες και η συχνότητα αυξάνεται με την ηλικία.
Η συχνότητα σε παγκόσμιο επίπεδο αυξάνεται, κυρίως δε σε χώρες της Αφρικής και της Ασίας. Δεδομένα από την Ιαπωνία δείχνουν ότι ο έλεγχος της υπέρτασης μειώνει την συχνότητα της ενδοεγκεφαλικής αιμορραγίας. Η θνητότητα περίπτωσης (case fatality) κυμαίνεται γύρω στο 25% έως 30% σε χώρες υψηλού κατά κεφαλήν εισοδήματος, και 30% έως 48% σε χώρες χαμηλού κατά κεφαλήν εισοδήματος. Η θνητότητα περίπτωσης στην ενδοεγκεφαλική αιμορραγία εξαρτάται από την διαθεσιμότητα και την αποτελεσματικότητα υπηρεσίας ΜΕΘ.
Παθοφυσιολογικά Δεδομένα
Οι συνηθισμένες θέσεις αιμορραγίας είναι τα βασικά γάγγλια (50%), οι λοβοί του εγκεφάλου (10% - 20%), ο θάλαμος (15%), η γέφυρα και το εγκεφαλικό στέλεχος (10% - 20%), και η παρεγκεφαλίδα (10%) (φωτ.1,2,3)[1]
.jpg)
Η εικόνα δείχνει πώς μπορεί να συμβεί ένα αιμορραγικό εγκεφαλικό στον εγκέφαλο. Ένα ανεύρυσμα σε μια εγκεφαλική αρτηρία ρήγνυται, γεγονός που προκαλεί αιμορραγία στον εγκέφαλο. Η πίεση του αίματος προκαλεί καταστροφή του εγκεφαλικού ιστού. Συνεισφορά από το National Heart Lung and Blood Institute (NIH)
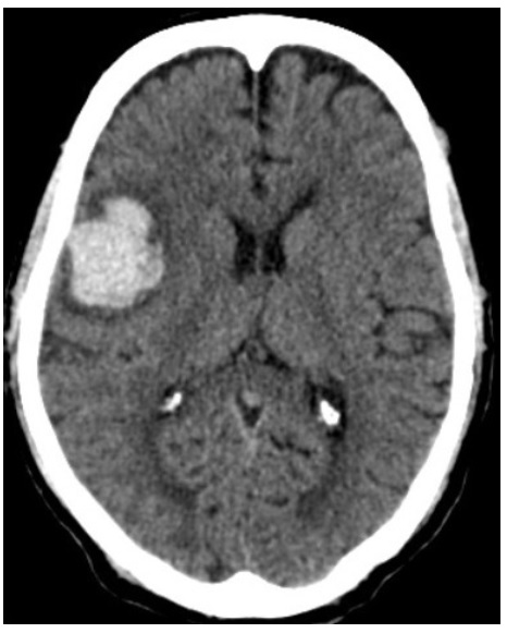
.jpg)
Fig.02. CT scan of lobar hemorrhage. Owned by Dr. Ajaya Kumar A.
.jpg)
Fig.03. CT scan of pontine hemorrhage. Owned by Dr. Ajaya Kumar A.
.jpg)
Fig.04. CT scan of cerebellar hemorrhage. Owned by Dr. Ajaya Kumar A.
.jpg)
CT Angiogram of a patient with ICH. Owned by Dr. Ajaya Kumar A.
Το αιμάτωμα διασχίζει τους νευρώνες και την νευρογλοία, γεγονός που προκαλεί ολιγαιμία, απελευθέρωση νευροδιαβιβαστών, και κυτταρικό οίδημα. Η θρομβίνη ενεργοποιεί την μικρογλοία και προκαλεί φλεγμονή και οίδημα.[5][6]
Η πρωτογενής βλάβη οφείλεται σε συμπίεση του εγκεφαλικού ιστού από το αιμάτωμα και σε αύξηση της ενδοκράνιας πίεσης [Intraranial Pressure (ICP)].[7]
Η δευτορογενής βλάβη οφείλεται σε φλεγμονή, διάσχιση του αιματοεγκεφαλικού φραγμού [Blood-Brain Barrier (BBB)], οίδημα, υπερπαραγωγή ελεύθερων ριζών και απελευθέρωση αιμοσφαιρίνης και σιδήρου από τον θρόμβο.
Συνήθως, το αιμάτωμα μεγαλώνει εντός 3 - 12 ωρών. Η επέκταση του αιματώματος συμβαίνει εντός των πρώτων 3 ωρών στο 1/3 των περιπτώσεων. Το περιαιμορραγικό οίδημα (perihematomal edema) αυξάνεται το πρώτο 24-ωρο, κορυφώνεται γύρω στην 5η έως 6η ημέρα, και διαρκεί μέχρι και 14 ημέρες.
Γύρω από το αιμάτωμα υπάρχει μια περιοχή υποάρδευσης. Οι παράγοντες που προκαλούν
επιδείνωση στο Αιμορραγικό ΑΕΕ είναι η επέκταση του αιματώματος, η ενδοκοιλιακή αιμορραγία, το οίδημα γύρω από το αιμάτωμα, και η φλεγμονή [1]
Το παρεγκεφαλιδικό αιμάτωμα προκαλεί υδροκέφαλο λόγω πίεσης που ασκείται στην τέταρτη κοιλία κατά το πρώϊμο στάδιο.
Η μη-ανευρυσματική αυτόματη υπαραχνοειδής αιμορραγία μπορεί να είναι είτε περιμεσεγκεφαλική ή μη-περιμεσεγκεφαλική υπαραχνοειδής αιμορραγία. Στην περιμεσεγκεφαλική υπραχνοειδή αιμορραγία η αιμορραγία εντοπίζεται κυρίως στην μεσοσκελιαία δεξαμενή (interpeduncular cistern). Η δοκιμασία Valsalva παράγει αυξημένη ενδοθωρακική πίεση και αυξημένη ενδοκράνια φλεβική πίεση (intracranial venous pressure) και αποτελεί προδιαθεσικό παράγοντα εμφάνισης περιμεσεγκεφαλικής μη-ανευρυσματικής υπαραχνοειδούς αιμορραγίας.[8] Υπάρχει διάχυτη κατανομή του εξαγγειωμένου αίματος στην μη-περιμεσεγκεφαλική υπαραχνοειδή αιμορραγία .[9]
ΙΣΤΟΡΙΚΟ ΚΑΙ ΚΛΙΝΙΚΗ ΕΞΕΤΑΣΗ (History and Physical)
Οι συνηθισμένες κλινικές παρουσιάσεις του εγκεφαλικού επεισοδίου είναι η κεφαλαλγία, η αφασία, η ημιπάρεση και η πάρεση προσωπικού (κεντρικού τύπου).[10]
Η παρουσίαση του αιμορραγικού ΑΕΕ είναι συνήθως οξεία και προοδευτικά εξελισσόμενη.
Οξεία έναρξη κεφαλαλγίας, έμετος, αυχενική δυσκαμψία, αυξημένη αρτηριακή πίεση και ταχεία εγκατάσταση νευρολογικής σημειολογίας αποτελούν συνηθισμένες κλινικές εκδηλώσεις του αιμορραγικού ΑΕΕ.[5]
Τα συμπτώματα μπορούν να κατευθύνουν διαγνωστικά ως προς την έκταση και την θέση της αιμορραγίας:
Η κεφαλαλγία είναι συνηθισμένη εκδήλωση σε μεγάλο (εκτεταμένο) αιμάτωμα.
Ο έμετος υποδεικνύει αυξημένη ενδοκράνια πίεση και είναι συνηθισμένη εκδήλωση σε αιμάτωμα της παρεγκεφαλίδας.
Κώμα συμβαίνει όταν η αιμορραγία αφορά στο δικτυωτό σχηματισμό στο εγκεφαλικό στέλεχος.
Επιληπτικοί σπασμοί, αφασία και ημιανοψία εμφανίζονται σε αιμορραγία στους λοβούς του εγκεφάλου. Σε αυτές τις περιπτώσεις μπορεί να υπάρχει μια πρόδρομη κατάσταση με κύριες εκδηλώσεις αιμωδία, δυσαισθησία, και αδυναμία.
Αισθητικο-κινητικά ελλείμματα αντίστοιχης πλευράς αποτελούν εκδηλώσεις αιμορραγίας στα βασικά γάγγλια και στον θάλαμο.
Απώλεια όλων των αισθητικών λειτουργιών είναι το κύριο χαρακτηριστικό της θαλαμικής αιμορραγίας.
Επέκταση του θαλαμικού αιματώματος εντός του μεσεγκεφάλου μπορεί να προκαλέσει πάρεση συζυγών οφθαλμικών κινήσεων σε κάθετο επίπεδο (vertical gaze palsy), βλεφαρόπτωση, και μη αντιδρώσες κόρες.
Δυσλειτουργία κρανιακών νεύρων με αδυναμία αντίστοιχου πλαγίου υποδεικνύει αιμάτωμα στο εγκεφαλικό στέλεχος.[5]
Αιμάτωμα στην γέφυρα προκαλεί κώμα και τετραπάρεση.[11]
Αιμορραγία στην παρεγκεφαλίδα
Η παρεγκεφαλιδική αιμορραγία (Cerebellar hemorrhage) εκδηλώνεται με συμπτώματα αύξησης ενδοκράνιας πίεσης (symptoms of raised ICP), όπως λήθαργο, έμετο, και βραδυκαρδία. Προϊούσα νευρολογική επιδείνωση (progressive neurological deterioration) καταδεικνύει αύξηση του αιματώματος ή αύξηση του εγκεφαλικού οιδήματος.
Τα κλινικά χαρακτηριστικά της υπαραχνοειδούς αιμορραγίας (clinical features of subarachnoid hemorrhage) είναι η ισχυρής έντασης κεφαλαλγία που περιγράφεται ως κεραυνοβόλος, ο έμετος, η συγκοπή, η φωτοφοβία, η αυχεινική δυσκαμψία (nuchalr rigidity), οι σπασμοί και η έκπτωση επιπέδου συνείδησης (decreased level of consciousness).[8] [9]
Σημεία Μηνιγγισμού (Signs of meningismus) όπως το σημείο Kernig [Kernig sign], πόνος κατά τον ευθειασμό (έκταση) της άρθρωσης του γόνατος με τον μηρό σε θέση κάμψης 90 μοιρών ως προς την άρθρωση του ισχίου και το σημείο Brudzinski [Brudzinski sign] ακούσια κάμψη του μηρού στο ισχίο κατά την κάμψη του αυχένα, αποβαίνουν θετικά.
Εκτίμηση - Έλεγχος
Η Υπολογιστική (Αξονική) Τομογραφία [Computerized tomography (CT)] είναι συνήθως η αρχική εξέταση διερεύνησης.[12] Η αιμορραγία αυξάνει την εξασθένηση του σήματος από τις 30-60 Hounsfield units (HU) στην υπεροξεία φάση στις 80 έως 100 HU με το πέρασμα μερικών ωρών.[13] Η εξασθένηση του σήματος μπορεί να είναι μειωμένη όταν συνυπάρχει αναιμία ή διαταραχή πηκτικότητας. Αγγειογενές οίδημα (Vasogenic edema) γύρω από το αιμάτωμα μπορεί να αυξάνεται μέχρι τις πρώτες 2 εβδομάδες.
Η αξονική τομογραφία θεωρείται το «χρυσό πρότυπο» εξέτασης στην ανίχνευση οξείας αιμορραγίας λόγω της ευαισθησίας της. Ωστόσο, η διαβαθμισμένη αντήχηση και η ακολουθία Τ2* της Μαγνητικής Τομογραφίας (gradient echo MRI) έχει την ίδια ευαισθησία με αυτήν της αξονικής στην ανίχνευση οξείας αιμορραγίας. Αυτές οι ακολουθίες έχουν όμως μεγαλύτερη ευαισθησία από αυτήν της αξονικής στον εντοπισμό προγενέστερης αιμορραγίας.
Στην υποξεία φάση, το αιμάτωμα μπορεί να είναι ισοηχογενές (ισόπυκνο) (isodense) με τον εγκεφαλικό ιστό και η Μαγνητική Τομογραφία να είναι πιο ενδεδειγμένη εξέταση.
Η Υπολογιστική (Αξονική) Τομογραφία [Computerized tomography (CT)] είναι συνήθως η αρχική εξέταση διερεύνησης.[12] Η αιμορραγία αυξάνει την εξασθένηση του σήματος από τις 30-60 Hounsfield units (HU) στην υπεροξεία φάση στις 80 έως 100 HU με το πέρασμα μερικών ωρών.[13] Η εξασθένηση του σήματος μπορεί να είναι μειωμένη όταν συνυπάρχει αναιμία ή διαταραχή πηκτικότητας. Αγγειογενές οίδημα (Vasogenic edema) γύρω από το αιμάτωμα μπορεί να αυξάνεται μέχρι τις πρώτες 2 εβδομάδες.
Η αξονική τομογραφία θεωρείται το «χρυσό πρότυπο» εξέτασης στην ανίχνευση οξείας αιμορραγίας λόγω της ευαισθησίας της. Ωστόσο, η διαβαθμισμένη αντήχηση και η ακολουθία Τ2* της Μαγνητικής Τομογραφίας (gradient echo MRI) έχει την ίδια ευαισθησία με αυτήν της αξονικής στην ανίχνευση οξείας αιμορραγίας. Αυτές οι ακολουθίες έχουν όμως μεγαλύτερη ευαισθησία από αυτήν της αξονικής στον εντοπισμό προγενέστερης αιμορραγίας.
Στην υποξεία φάση, το αιμάτωμα μπορεί να είναι ισοηχογενές (ισόπυκνο) (isodense) με τον εγκεφαλικό ιστό και η Μαγνητική Τομογραφία να είναι πιο ενδεδειγμένη εξέταση.
Ο όγκος του αιματώματος μπορεί να μετρηθεί με την χρήση του τύπου ΑxBxC/2, όπου Α είναι η μεγαλύτερη διάμετρος και Β η διάμετρος που είναι κάθετη πάνω στην προηγούμενη. C είναι το κατακόρυφο ύψος του αιματώματος.[14]
Ενδοεγκεφαλική αιμορραγία με όγκο μεγαλύτερο των 60 ml σχετίζεται με υψηλή θνητότητα.[15] Οι άλλοι παράγοντες φτωχής πρόγνωσης είναι η επέκταση του αιματώματος, η ενδοκοιλιακή αιμορραγία, η υποσκηνιδιακή εντόπιση του αιματώματος, και η εξαγγείωση του σκιαγραφικού κατά την διενέργεια της αξονικής τομογραφίας (Σημείο Κηλίδος - Spot Sign).[5]
Τα παραμαγνητικά χαρακτηριστικά της αναχθείσας οξυαιμοσφαιρίνης επιτρέπουν την πρώϊμη ανίχνευση της αιμορραγίας με την μαγνητική τομογραφία.[16] Η απεικόνιση με Gradient echo (GRE) είναι εξίσου καλή όσο και η Αξονική Τομογραφία στην ανίχνευση οξείας αιμορραγίας.
Η Μαγνητική Τομογραφία μπορεί να διακρίνει μεταξύ της αιμορραγικής μετατροπής ισχαιμικού εμφράκτου και της πρωτοπαθούς αιμορραγίας. Μπορεί επίσης να ανιχνεύσει υποκείμενες αιτίες δευτεροπαθούς αιμορραγίας, όπως οι αγγειακές δυσπλασίες, συμπεριλαμβανομένων των σηραγγωμάτων (cavernomas), των όγκων και της θρόμβωσης των εγκεφαλικών φλεβών (cerbral vein thrombosis). Η εξαγγείωση του σκιαγραφικού στην Αξονική Αγγειογραφία (CT angiogram - CTA) καταδεικνύει ενεργό αιμορραγία και σχετίζεται με θανατηφόρο έκβαση.[17]
H Πολυεστιακή CT αγγειογραφία [Multidetector CT Angiography (MDCTA) βοηθάει στον αποκλεισμό δευτεροπαθών αιτίων αιμορραγικού ΑΕΕ όπως η αρτηριοφλεβική δυσπλασία [Arterio-Venous Malformation - (AVM)], η ρήξη ανευρύσματος, η θρόμβωση φλεβώδους κόλπου ή εγκεφαλικής φλέβας [ Dural Venous Sinus Thrombosis (DVST) - Cerebral Vein Thrombosis (CVT)], η αγγειΐτιδα, και η νόσος Moya-Moya [18] (fig.4).
Συγκεκριμένα απεικονιστικά χαρακτηριστικά βοηθούν στην διαφοροποίηση της υποκείμενης νόσου.[19]:
Ενδοεγκεφαλική αιμορραγία με όγκο μεγαλύτερο των 60 ml σχετίζεται με υψηλή θνητότητα.[15] Οι άλλοι παράγοντες φτωχής πρόγνωσης είναι η επέκταση του αιματώματος, η ενδοκοιλιακή αιμορραγία, η υποσκηνιδιακή εντόπιση του αιματώματος, και η εξαγγείωση του σκιαγραφικού κατά την διενέργεια της αξονικής τομογραφίας (Σημείο Κηλίδος - Spot Sign).[5]
Τα παραμαγνητικά χαρακτηριστικά της αναχθείσας οξυαιμοσφαιρίνης επιτρέπουν την πρώϊμη ανίχνευση της αιμορραγίας με την μαγνητική τομογραφία.[16] Η απεικόνιση με Gradient echo (GRE) είναι εξίσου καλή όσο και η Αξονική Τομογραφία στην ανίχνευση οξείας αιμορραγίας.
Η Μαγνητική Τομογραφία μπορεί να διακρίνει μεταξύ της αιμορραγικής μετατροπής ισχαιμικού εμφράκτου και της πρωτοπαθούς αιμορραγίας. Μπορεί επίσης να ανιχνεύσει υποκείμενες αιτίες δευτεροπαθούς αιμορραγίας, όπως οι αγγειακές δυσπλασίες, συμπεριλαμβανομένων των σηραγγωμάτων (cavernomas), των όγκων και της θρόμβωσης των εγκεφαλικών φλεβών (cerbral vein thrombosis). Η εξαγγείωση του σκιαγραφικού στην Αξονική Αγγειογραφία (CT angiogram - CTA) καταδεικνύει ενεργό αιμορραγία και σχετίζεται με θανατηφόρο έκβαση.[17]
H Πολυεστιακή CT αγγειογραφία [Multidetector CT Angiography (MDCTA) βοηθάει στον αποκλεισμό δευτεροπαθών αιτίων αιμορραγικού ΑΕΕ όπως η αρτηριοφλεβική δυσπλασία [Arterio-Venous Malformation - (AVM)], η ρήξη ανευρύσματος, η θρόμβωση φλεβώδους κόλπου ή εγκεφαλικής φλέβας [ Dural Venous Sinus Thrombosis (DVST) - Cerebral Vein Thrombosis (CVT)], η αγγειΐτιδα, και η νόσος Moya-Moya [18] (fig.4).
Συγκεκριμένα απεικονιστικά χαρακτηριστικά βοηθούν στην διαφοροποίηση της υποκείμενης νόσου.[19]:
- Πολλαπλές αιμορραγίες διαφορετικών χρόνων έναρξης στους βρεγματο-ινιακούς λοβούς εμφανίζονται στην εγκεφαλική αγγειοπάθεια από αμυλοειδές (Cerebral Amyloid Angiopathy)
- Αιμορραγία εντοπιζόμενη τοπογραφικά σε περιοχή αρτηριακής άρδευσης είναι ενδεικτική αιμορραγικού εμφράκτου.
- Πολλαπλά στάδια αιμορραγίας στο ίδιο αιμάτωμα με παρουσία υδρικού επιπέδου εμφανίζονται σε αιμορραγίες από αντιπηκτικά (anticoagulation-induced hemorrhages)
- Συνδυασμός μικρών ισχαιμικών και αιμορραγικών βλαβών είναι ενδεικτικό εύρημα αγγειΐτιδας.
- Αιμορραγία με συνύπαρξη αρτηριακής απόφραξης είναι χαρακτηριστικό της πάθησης Moya-Moya
Ο κλινικός ιατρός πρέπει να υποψιάζεται την ύπαρξη αγγειακών ανωμαλιών εάν τα ακόλουθα ευρήματα υπάρχουν σε μια απλή αξονική τομογραφία:
Η θέση της αιμορραγίας
Η σχετική έκταση του οιδήματος
Το παθολογικό σήμα στους φλεβώδεις κόλπους του εγκεφάλου
Οι εργαστηριακές εξετάσεις αίματος όπως ο χρόνος ροής αίματος (bleeding time), ο χρόνος πήξης (clotting time), ο αριθμός των αιμοπεταλίων (platelet count), το περιφερικό πλακάκι (peripheral smear), ο χρόνος προθρομβίνης (prothrombin time - PT), και ο χρόνος ενεργοποιημένης μερικής θρομβοπλαστίνης (activated partial thromboplastin time - aPTT) θα εντοπίσουν οποιαδήποτε διαταραχή στην ροή ή στην πήξη του αίματος και οποιαδήποτε αιματολογική πάθηση η οποία μπορεί να προκαλέσει αιμορραγία.
Εξέτασεις λειτουργίας ήπατος και νεφρών χρειάζονται επίσης για τον απαοκλεισμό ηπατικής ή νεφρικής δυσλειτουργίας ως αιτίου της αιμορραγίας.
Οι εξετάσεις ελέγχου για τον αποκλεισμό αγγειΐτιδος είναι ο ποσοτικός προσδιορισμός των ανοσοσφαιριών (immunoglobulins), θυρεοειδικών αντισωμάτων, ρευματοειδούς παράγοντα, αντιπυρηνικών αντισωμάτων (antinuclear antibodies - ANA), αντισωμάτων ds-DNA, αντισωμάτων έναντι ιστόνης (Histon antibodies), συμπληρώματος, τα anti-Ro [SS-A] και anti-La [SS-B] και τα c-ANCA και p-ANCA και τα αντισώματα έναντι του ενδοθηλίου.[22]
Θεραπευτική Αντιμετώπιση
Υπάρχουν πολλές διαφορετικές γνώμες για την θεραπεία του αιμορραγικού εγκεφαλικού επεισοδίου. Υπάρχουν πολλές μελέτες για την βέλτιστη αντιμετώπιση του αιμορραγικού εγκεφαλικού επεισοδίου.
Η ΑΠ θα πρέπει να μειώνεται σταδιακά σε επίπεδα 150/90 mmHg χρησιμοποιώντας β-αναστολείς (labetalol, esmolol), αναστολείς μετατρεπτικού ενζύμου [ACE Inhibitors (enalapril)], αναστολείς διαύλων ασβεστίου [Calcium Channel Blockers (nicardipine), ή hydralazine.[4]
Η ΑΠ θα πρέπει να ελέγχεται κάθε 15 min. Η μελέτη ATACH κατέδειξε μια μη-σημαντική συσχέτιση μεταξύ του βαθμού μείωσης της συστολικής πίεσης και της έκτασης του αιματώματος και της έκβασης στους 3 μήνες.[24]
Όμως η μελέτη INTERACT έδειξε ότι η έγκαιρη εντατική θεραπεία μείωσης της ΑΠ μείωσε την ανάπτυξη αιματώματος στις 72 ώρες [25].
Έχει βρεθεί ότι η υψηλή συστολική αρτηριακή πίεση (ΣΑΠ) σχετίζεται με νευρολογική επιδείνωση και θάνατο[20]
Η σύσταση της Αμερικανικής Εταιρείας Εγκεφαλικού Επεισοδίου [American Stroke Association (ASA)] για ασθενείς που παρουσιάζονται με ΣΑΠ μεταξύ 150 και 220 mmHg, είναι ότι η οξεία μείωση της ΣΑΠ στα 140 mmHg είναι ασφαλής και μπορεί να βελτιώσει την λειτουργική έκβαση.
Για ασθενείς που παρουσιάζονται με ΣΑΠ > 220 mmHg, απαιτείται επιθετική μείωση της ΑΠ μέσω συνεχούς ενδοφλέβιας έγχυσης.
Αντιμετώπιση Αυξημένης Ενδοκράνιας Πίεσης (Μanagement of Raised Intracranial Pressure (ICP)
Η αρχική θεραπεία για αυξημένη ενδοκράνια πίεση συνίσταται σε ανύψωση της κεφαλής της κλίνης στις 30 μοίρες και σε χρήση ωσμωτικών παραγόντων (μαννιτόλη, υπέρτονο χλωριούχο νάτριο).
Διάλυμα Μαννιτόλης 20% χορηγείται σε δόση 1 - 1,5 g/kg [4].
Υπεραερισμός μετά από ενδοτραχειακή διασωλήνωση και καταστολή με στόχο τιμή του pCO2 στα 28 - 32 mmHg, θα απαιτηθεί αν η ενδοκράνια πίεση αυξάνεται περαιτέρω.
Η ASA συστήνει παρακολούθηση της ενδοκράνιας πίεσης με την χρήση ενδοπαρεγχυματικού ή ενδοκοιλιακού καθετήρα (parenchymal or ventricular catheter) σε όλους τους ασθενείς με βαθμολογία στην Κλίμακα Γλασκώβης [Glasgow Coma Scale (GCS)] μικρότερη από 8 ( GCS < 8) ή σε εκείνους με ενδείξεις διασκηνιδιακού εγκολεασμό (transtentorial herniation) ή υδροκέφαλο (hydrocephalus).[20]
Ο ενδοκοιλιακός καθετήρας έχει το πλεονέκτημα της δυνατότητας παροχέτευσης εγκεφαλονωτιαίου υγρού [cerbrospinal fluid (CSF)] στην περίπτωση υδροκεφάλου. Ο στόχος είναι να κρατηθεί η πίεση άρδευσης του εγκεφάλου [cerebral perfusion pressure (CPP)] μεταξύ ων 50 και 70 mmHg.
Αιμοστατική Θεραπεία (Hemostatic Therapy)
Η αιμοστατική θεραπεία (εξουδετέρωση και αναστροφή δράσης αντιπηκτικών) χορηγείται για την αναστολή εξέλιξης του αιματώματος.[4]
Αυτό είναι ιδιαίτερα σημαντικό για την αναστροφή της αιμορραγικής διάθεσης σε ασθενείς που λάμβαναν αντιπηκτικά φάρμακα. Η Βιταμίνη Κ (Vitamin K), το συμπύκνωμα συμπλέγματος προθρομβίνης [prothrombin complex concentrates (PCCs)], ο ανασυνδυασμένος ενεργοποιημένος παράγοντας VII [recombinant activated factor VII (rFVIIa)], το φρέκσο κατεψυγμένο πλάσμα [fresh frozen plasma (FFP)], κλπ, είναι προςχρήση.[4][20][4]
Η Αμερικανική Εταιρεία για το Εγκεφαλικό Επεισόδιο (ASA) συστήνει οι ασθενείς με θρομβοκυτταροπενία (thrombocytopenia) να λαμβάνουν συμπυκνωμένα αιμοπετάλια (platelet concentrate).[20]
Οι ασθενείς με παράταση του χρόνου προθρομβίνης - ΙΝΡ (elevated prothrombin time INR) πρέπει να λαμβάνουν ενδοφλεβίως βιταμίνη Κ και Φρέκο Κατεψυγμένο Πλάσμα ή Συμπύκνωμα Συμπλέγματος Προθρομβίνης [intravenous vitamin K and FFP or PCCs].
Η χορήγηση φρέσκου κατεψυγμένου πλάσματος ενέχει τον κίνδυνο της αλλεργικής αντίδρασης της μετάγγισης (allergic transfusion reactions).
Το συμπύκνωμα συμπλέγματος προθρομβίνης είναι παράγωγο πλάσματος που περιέχει συμπυκνωμένους παράγοντες πήξης II, VII, IX, και X.
Το συμπύκνωμα συμπλέγματος προθρομβίνης μπορεί να ανασυσταθεί και να χορηγηθεί ταχέως.
Η μελέτη FAST έδειξε ότι ο rFVIIa μείωσε την αύξηση του αιματώματος αλλά δεν βελτίωσε της επιβίωση ή την λειτουργική έκβαση (functional outcome).[26]
O rFVIIa δεν συνιστάται σε μη επιλεγμένους ασθενείς επειδή δεν αντικαθιστά όλους τους παράγοντες της πήξης.[20]
Αντιεπιληπτική Αγωγή (Antiepileptic Therapy)
Περίπου 3 έως 17% των ασθενών θα εμφανίσουν κλινικά επιληπτικούς σπασμούς κατά την διάρκεια των πρώτων δυο εβδομάδων, και το 30% των ασθενών θα εμφανίσουν ηλεκτρική επιληπτική δραστηριότητα (electrical seizure activity) στο Ηλεκτροεγκεφαλογραφικό Monitoring.[20]
Οι ασθενείς με κλινική εκδήλωση σπασμών ή ηλεκτροεγκεφαλογραφική επιληπτική δραστηριότητα θα πρέπει να λαμβάνουν αντιεπιληπτική αγωγή. Αιμάτωμα που καταλαμβάνει εγκεφαλικό λοβό (lobar hematoma) και οποιαδήποτε αύξηση ή επέκταση αιματώματος μπορεί να προκαλέσει σπασμούς με συνοδό νευρολογική επιδείνωση.
Υποκλινικοί σπασμοί και επιληπτική κατάσταση χωρίς εμφανείς σπασμούς (non-convulsive status epilepticus) μπορεί επίσης να εμφανισθούν. Συνεχόμενο ΗΕΓ Monitoring ενδείκνυται σε ασθενείς με μειωμένο επίπεδο συνείδησης. Κατά τ' άλλα, δεν συνιστάται προφυλακτική αντιεπιληπτική αγωγή, σύμφωνα με τις κατευθυντήριες οδηγίες της Αμερικανικής Εταιρείας Εγκεφαλικών Επεισοδίων [American Stroke Association - ASA].[27]
Χειρουργική Αντιμετώπιση
Οι διάφοροι τύποι χειρουργικής αντιμετώπισης αιμορραγικού εγκεφαλικού επεισοδίου (hemorrhagic stroke) είναι η κρανιοτομία (craniotomy), η αποσυμπιεστική κρανιεκτομή (decompressive craniectomy), στερεοτακτική αναρρόφηση (stereotactic aspiration), η ενδοσκοπική αναρρόφηση (endoscopic aspiration), και η διακαθετηριακή αναρρόφηση (catheter aspiration).[4]
Η μελέτη STICH δεν κατέδειξε συνολικό όφελος από την εφαρμογή έγκαιρης χειρουργικής επέμβασης σε υπερσκηνιδιακή ενδοεγκεφαλική αιμορραγία συγκριτικά με εφαρμογή αρχικής συντηρητικής θεραπείας.[28]
Όσοι έχουν λοβώδεις αιμορραγίες σε απόσταση μικρότερη του 1 cm από την επιφάνεια του εγκεφάλου και ηπιότερα κλινικά ελλείμματα (GCS>9) μπορεί να έχουν όφελος από την εφαρμογή έγκαιρης χειρουργικής επέμβασης.
Επείγουσα χειρουργική αφαίρεση - εκκένωση (emergency surgical evacuation) του αιματώματος ενδείκνυται σε παρεγκεφαλιδική αιμορραγία με υδροκέφαλο ή συμπίεση του εγκεφαλικού στελέχους.[21]
Ασθενείς με παρεγκεφαλιδικές αιμορραγίες διαμέτρου > 3 cm θα έχουν καλύτερα αποτελέσματα με χειρουργική επέμβαση.
Το παρεγκεφαλιδικό αιμάτωμα εκκενώνεται με υπινιακή κρανιεκτομή (suboccipital craniectomy).
Η εκκένωση των αιμορραγιών του εγκεφαλικού στελέχους μπορεί να είναι επιβλαβής και δεν συνιστάται.
Η στερεοτακτική αναρρόφηση (stereotactic aspiration), μια ελάχιστα επεμβατική χειρουργική παρέμβαση (minimally invasive procedure), βρίσκεται υπό μελέτη.
O Hattori et al. κατέδειξε σε μια τυχαιοποιημένη μελέτη ότι η εφαρμογή σερεοτακτικής αφαίρεσης αιματώματος έχει αξία σε ασθενείς με αυτόματη αιμορραγία στα βασικά γάγγλια (putaminal hemorrhage), των οποίων τα μάτια ανοίγουν ως απόκριση σε ισχυρά ερεθίσματα.[29]
Η ελάχιστα επεμβατική χειρουργική παρέμβαση μαζί με ανασυνδυασμένο ενεργοποιητή ιστικού πλασμινογόνου (rt-PA) για την αφαίρεση (εκκένωση) ενδοεγκεφαλικής αιμορραγίας (MISTIE) ήταν μια τυχαιοποιημένη, προοπτική μελέτη που εξέτασε την απεικονιστικά καθοδηγούμενη (Image-guided) δια μέσου καθετήρος αφαίρεση του θρόμβου αίματος.[30] Έδειξε μείωση του περιαιματωματικού οιδήματος (οιδήματος γύρω από το αιμάτωμα) μετά την εκκένωση του θρόμβου.
Η Διάλυση του Θρόμβου (The Clot Lysis):
Η αξιολόγηση της επιταχυνόμενης λύσης της ενδοκοιλιακής αιμορραγίας (μελέτη CLEAR IVH) έδειξε ότι rt-PA σε χαμηλή δόση, μπορεί να χορηγηθεί με ασφάλεια σε σταθερούς ενδοκοιλιακούς θρόμβους και μπορεί να αυξήσει τα ποσοστά λύσης της αιμορραγίας.[31]
Η αποσυμπιεστική κρανιεκτομή και η εκκένωση αιματώματος εφαρμόζονται πλέον πιο συχνά για αιμορραγικό εγκεφαλικό επεισόδιο.
Οι Moussa και Khedr έδειξαν τη βελτίωση της έκβασης που αποκτήθηκε προσθέτοντας αποσυμπιεστική κρανιεκτομή με εκτεταμένη σκληροπλαστική στην εκκένωση μεγάλου υπερτασικού ημισφαιρικού ενδοεγκεφαλικού αιματώμτος σε μια τυχαιοποιημένη ελεγχόμενη μελέτη.[32]
Η αποσυμπιεστική ημικράνιεκτομή (Decompressive Hemicraniectomy) με εκκένωση αιματώματος πραγματοποιείται σε ασθενείς με βαθμολογία GCS 8 ή μικρότερη και μεγάλα αιματώματα με όγκο μεγαλύτερο από 60 ml.[33] Μειώνει την θνητότητα και μπορεί να βελτιώσει την λειτουργική έκβαση.
Εγκεφαλοπροστασία (Cerebroprotection)
Η δευτερογενής βλάβη σε αιμορραγικό εγκεφαλικό επεισόδιο περιλαμβάνει φλεγμονή, οξειδωτικό στρες και τοξικότητα των κατακερματισμένων ερυθροκυττάρων (erythrocyte lysates) και της θρομβίνης.
Έτσι, δοκιμάζονται στρατηγικές για τη μείωση αυτών των φαινομένων. Η πιογλιταζόνη (pioglitazone), η μισοπροστόλη (misoprostol) και η σελεκοξίμπη (celecoxib) έχουν δοκιμαστεί για την μείωση της φλεγμονώδους βλάβης.
Η εδαραβόνη (edaravone), το φλαβονοειδές (flavonoid) και το μονονουκλεοτίδιο νικοτιναμιδίου (nicotinamide mononucleotide) μπορούν να μειώσουν το οξειδωτικό στρες.
Ο χηλικός παράγοντας σιδήρου (iron chelator) δεφεροξαμίνη (deferoxamine) βρίσκεται επίσης σε πειραματική φάση.
Η ασφάλεια και η νευροπροστατευτική αποτελεσματικότητα του συστατικού της κυτταρικής μεμβράνης κυτοχολίνη (cytidine-5-diphosphocholine) έχει αποδειχθεί σε ορισμένες μελέτες.[34]
Η ροσουβαστατίνη, ένας ανταγωνιστικός αναστολέας του ενζύμου αναγωγάση του 3-υδροξυ-3-μεθυλγλουταρυλ συνενζύμου Α, συσχετίστηκε με καλύτερο αποτέλεσμα σε μια μελέτη. Ο αναστολέας διαύλων ασβεστίου νιμοδιπίνη βελτιώνει τα αποτελέσματα στην υπαραχνοειδή αιμορραγία (SAH) με νευροπροστατευτική δράση.[35][35]
Γενική Φροντίδα (General Care)
Η καλή ιατρική περίθαλψη, η νοσηλευτική φροντίδα και η αποκατάσταση είναι πρωταρχικής σημασίας.[20]
Συνηθισμένα προβλήματα αποτελούν η δυσφαγία, η εισρόφηση, οι καρδιακές αρρυθμίες, η μυοκαρδιοπάθεια που προκαλείται από στρες, η καρδιακή ανεπάρκεια, η οξεία νεφρική βλάβη, η γαστρεντερική αιμορραγία, η λοίμωξη του ουροποιητικού συστήματος κ.λπ.
Μπορεί να χρειαστεί διαδερμική ενδοσκοπική γαστροστομία [Percutaneous endoscopic gastrostomy (PEG)] για την πρόληψη της εισρόφησης.
Συνιστάται έλεγχος για ισχαιμία του μυοκαρδίου με ηλεκτροκαρδιογράφημα και έλεγχο καρδιακών ενζύμων σε αιμορραγικό εγκεφαλικό επεισόδιο. Η εφαρμογή συσκευής διαλείπουσας συμπίεσης με πεπιεσμένο αέρα στα κάτω άκρα (Intermittent Pneumatic Compression - IPC), μειώνει την εμφάνιση εν τω βάθει φλεβικής θρόμβωσης, αλλά η χρησιμότητα των ελαστικών καλτσών είναι αμφίβολη. Συνιστάται συμβολή πολλών ειδικοτήτων (multidisciplinary team approach) στην αποκατάσταση για τη μείωση της αναπηρίας. Θα πρέπει να παρακολουθείται η γλυκόζη του αίματος και να λαμβάνονται μέτρα για την πρόληψη τόσο της υπεργλυκαιμίας όσο και της υπογλυκαιμίας.[36]
Διαφορική Διάγνωση (Differential Diagnosis)
Η διαφορική διάγνωση του αιμορραγικού ΑΕΕ περιλαμβάνει:
- Υπαραχνοειδής αιμορραγία
- Διευρυσμένα αγγεία ή αποτιτανώσεις κατά μήκος των ορίων της ενδοεγκεφαλικής αιμορραγίας
- Υπερεξασθένηση σήματος εντός επισκληρίδιου φλεβώδους κόλπου
- Ύπαρξη φλοιώδους φλέβας κατά μήκος της υποτιθέμενης διαδρομής φλεβικής παροχέτευσης
- Ασυνήθιστο σχήμα αιματώματος
- Παρουσία οιδήματος δυσανάλογα με τον υποτιθέμενο χρόνο διάρκειας της ενδοεγκεφαλικής αιμορραγίας.
- Ασυνήθιστη θέση ενδοεγκεφαλικής αιμορραγίας
- Παρουσία άλλων μη φυσιολογικών δομών στον εγκέφαλο (όπως μια μάζα)[20][21]
- Λοβιακή θέση της αιμορραγίας
- Ηλικία < 55 ετών
- Απουσία ιστορικού Υπέρτασης
Η θέση της αιμορραγίας
Η σχετική έκταση του οιδήματος
Το παθολογικό σήμα στους φλεβώδεις κόλπους του εγκεφάλου
Οι εργαστηριακές εξετάσεις αίματος όπως ο χρόνος ροής αίματος (bleeding time), ο χρόνος πήξης (clotting time), ο αριθμός των αιμοπεταλίων (platelet count), το περιφερικό πλακάκι (peripheral smear), ο χρόνος προθρομβίνης (prothrombin time - PT), και ο χρόνος ενεργοποιημένης μερικής θρομβοπλαστίνης (activated partial thromboplastin time - aPTT) θα εντοπίσουν οποιαδήποτε διαταραχή στην ροή ή στην πήξη του αίματος και οποιαδήποτε αιματολογική πάθηση η οποία μπορεί να προκαλέσει αιμορραγία.
Εξέτασεις λειτουργίας ήπατος και νεφρών χρειάζονται επίσης για τον απαοκλεισμό ηπατικής ή νεφρικής δυσλειτουργίας ως αιτίου της αιμορραγίας.
Οι εξετάσεις ελέγχου για τον αποκλεισμό αγγειΐτιδος είναι ο ποσοτικός προσδιορισμός των ανοσοσφαιριών (immunoglobulins), θυρεοειδικών αντισωμάτων, ρευματοειδούς παράγοντα, αντιπυρηνικών αντισωμάτων (antinuclear antibodies - ANA), αντισωμάτων ds-DNA, αντισωμάτων έναντι ιστόνης (Histon antibodies), συμπληρώματος, τα anti-Ro [SS-A] και anti-La [SS-B] και τα c-ANCA και p-ANCA και τα αντισώματα έναντι του ενδοθηλίου.[22]
Θεραπευτική Αντιμετώπιση
Υπάρχουν πολλές διαφορετικές γνώμες για την θεραπεία του αιμορραγικού εγκεφαλικού επεισοδίου. Υπάρχουν πολλές μελέτες για την βέλτιστη αντιμετώπιση του αιμορραγικού εγκεφαλικού επεισοδίου.
- Αντιϋπερτασική Θεραπεία στην Οξεία Εγκεφαλική Αιμορραγία [Antihypertensive Treatment in Acute Cerebral Hemorrhage (ATACH)],
- Εντατική Μείωση της Αρτηριακής Πίεσης στην Οξεία Εγκεφαλική Αιμορραγία [Intensive Blood Pressure Reduction in Acute Cerebral Hemorrhage Trial (INTERACT)]
- Παράγοντας VIIa για την θεραπεία του Οξέος Αιμορραγικού Εγκεφαλικού Επεισοδίου [Factor VIIa for Acute Hemorrhagic Stroke Treatment (FAST)]
- Χειρουργική επέμβαση στη Ενδοεγκεφαλική Αιμορραγία [Surgical Trial in Intracerebral Haemorrhage (STICH)[23]. Ο ρόλος της χειρουργικής επέμβασης στο Αιμορραγικό Αγγειακό Εγκεφαλικό Επεισόδιο παραμένει ένα αμφιλεγόμενο ζήτημα.
Η ΑΠ θα πρέπει να μειώνεται σταδιακά σε επίπεδα 150/90 mmHg χρησιμοποιώντας β-αναστολείς (labetalol, esmolol), αναστολείς μετατρεπτικού ενζύμου [ACE Inhibitors (enalapril)], αναστολείς διαύλων ασβεστίου [Calcium Channel Blockers (nicardipine), ή hydralazine.[4]
Η ΑΠ θα πρέπει να ελέγχεται κάθε 15 min. Η μελέτη ATACH κατέδειξε μια μη-σημαντική συσχέτιση μεταξύ του βαθμού μείωσης της συστολικής πίεσης και της έκτασης του αιματώματος και της έκβασης στους 3 μήνες.[24]
Όμως η μελέτη INTERACT έδειξε ότι η έγκαιρη εντατική θεραπεία μείωσης της ΑΠ μείωσε την ανάπτυξη αιματώματος στις 72 ώρες [25].
Έχει βρεθεί ότι η υψηλή συστολική αρτηριακή πίεση (ΣΑΠ) σχετίζεται με νευρολογική επιδείνωση και θάνατο[20]
Η σύσταση της Αμερικανικής Εταιρείας Εγκεφαλικού Επεισοδίου [American Stroke Association (ASA)] για ασθενείς που παρουσιάζονται με ΣΑΠ μεταξύ 150 και 220 mmHg, είναι ότι η οξεία μείωση της ΣΑΠ στα 140 mmHg είναι ασφαλής και μπορεί να βελτιώσει την λειτουργική έκβαση.
Για ασθενείς που παρουσιάζονται με ΣΑΠ > 220 mmHg, απαιτείται επιθετική μείωση της ΑΠ μέσω συνεχούς ενδοφλέβιας έγχυσης.
Αντιμετώπιση Αυξημένης Ενδοκράνιας Πίεσης (Μanagement of Raised Intracranial Pressure (ICP)
Η αρχική θεραπεία για αυξημένη ενδοκράνια πίεση συνίσταται σε ανύψωση της κεφαλής της κλίνης στις 30 μοίρες και σε χρήση ωσμωτικών παραγόντων (μαννιτόλη, υπέρτονο χλωριούχο νάτριο).
Διάλυμα Μαννιτόλης 20% χορηγείται σε δόση 1 - 1,5 g/kg [4].
Υπεραερισμός μετά από ενδοτραχειακή διασωλήνωση και καταστολή με στόχο τιμή του pCO2 στα 28 - 32 mmHg, θα απαιτηθεί αν η ενδοκράνια πίεση αυξάνεται περαιτέρω.
Η ASA συστήνει παρακολούθηση της ενδοκράνιας πίεσης με την χρήση ενδοπαρεγχυματικού ή ενδοκοιλιακού καθετήρα (parenchymal or ventricular catheter) σε όλους τους ασθενείς με βαθμολογία στην Κλίμακα Γλασκώβης [Glasgow Coma Scale (GCS)] μικρότερη από 8 ( GCS < 8) ή σε εκείνους με ενδείξεις διασκηνιδιακού εγκολεασμό (transtentorial herniation) ή υδροκέφαλο (hydrocephalus).[20]
Ο ενδοκοιλιακός καθετήρας έχει το πλεονέκτημα της δυνατότητας παροχέτευσης εγκεφαλονωτιαίου υγρού [cerbrospinal fluid (CSF)] στην περίπτωση υδροκεφάλου. Ο στόχος είναι να κρατηθεί η πίεση άρδευσης του εγκεφάλου [cerebral perfusion pressure (CPP)] μεταξύ ων 50 και 70 mmHg.
Αιμοστατική Θεραπεία (Hemostatic Therapy)
Η αιμοστατική θεραπεία (εξουδετέρωση και αναστροφή δράσης αντιπηκτικών) χορηγείται για την αναστολή εξέλιξης του αιματώματος.[4]
Αυτό είναι ιδιαίτερα σημαντικό για την αναστροφή της αιμορραγικής διάθεσης σε ασθενείς που λάμβαναν αντιπηκτικά φάρμακα. Η Βιταμίνη Κ (Vitamin K), το συμπύκνωμα συμπλέγματος προθρομβίνης [prothrombin complex concentrates (PCCs)], ο ανασυνδυασμένος ενεργοποιημένος παράγοντας VII [recombinant activated factor VII (rFVIIa)], το φρέκσο κατεψυγμένο πλάσμα [fresh frozen plasma (FFP)], κλπ, είναι προςχρήση.[4][20][4]
Η Αμερικανική Εταιρεία για το Εγκεφαλικό Επεισόδιο (ASA) συστήνει οι ασθενείς με θρομβοκυτταροπενία (thrombocytopenia) να λαμβάνουν συμπυκνωμένα αιμοπετάλια (platelet concentrate).[20]
Οι ασθενείς με παράταση του χρόνου προθρομβίνης - ΙΝΡ (elevated prothrombin time INR) πρέπει να λαμβάνουν ενδοφλεβίως βιταμίνη Κ και Φρέκο Κατεψυγμένο Πλάσμα ή Συμπύκνωμα Συμπλέγματος Προθρομβίνης [intravenous vitamin K and FFP or PCCs].
Η χορήγηση φρέσκου κατεψυγμένου πλάσματος ενέχει τον κίνδυνο της αλλεργικής αντίδρασης της μετάγγισης (allergic transfusion reactions).
Το συμπύκνωμα συμπλέγματος προθρομβίνης είναι παράγωγο πλάσματος που περιέχει συμπυκνωμένους παράγοντες πήξης II, VII, IX, και X.
Το συμπύκνωμα συμπλέγματος προθρομβίνης μπορεί να ανασυσταθεί και να χορηγηθεί ταχέως.
Η μελέτη FAST έδειξε ότι ο rFVIIa μείωσε την αύξηση του αιματώματος αλλά δεν βελτίωσε της επιβίωση ή την λειτουργική έκβαση (functional outcome).[26]
O rFVIIa δεν συνιστάται σε μη επιλεγμένους ασθενείς επειδή δεν αντικαθιστά όλους τους παράγοντες της πήξης.[20]
Αντιεπιληπτική Αγωγή (Antiepileptic Therapy)
Περίπου 3 έως 17% των ασθενών θα εμφανίσουν κλινικά επιληπτικούς σπασμούς κατά την διάρκεια των πρώτων δυο εβδομάδων, και το 30% των ασθενών θα εμφανίσουν ηλεκτρική επιληπτική δραστηριότητα (electrical seizure activity) στο Ηλεκτροεγκεφαλογραφικό Monitoring.[20]
Οι ασθενείς με κλινική εκδήλωση σπασμών ή ηλεκτροεγκεφαλογραφική επιληπτική δραστηριότητα θα πρέπει να λαμβάνουν αντιεπιληπτική αγωγή. Αιμάτωμα που καταλαμβάνει εγκεφαλικό λοβό (lobar hematoma) και οποιαδήποτε αύξηση ή επέκταση αιματώματος μπορεί να προκαλέσει σπασμούς με συνοδό νευρολογική επιδείνωση.
Υποκλινικοί σπασμοί και επιληπτική κατάσταση χωρίς εμφανείς σπασμούς (non-convulsive status epilepticus) μπορεί επίσης να εμφανισθούν. Συνεχόμενο ΗΕΓ Monitoring ενδείκνυται σε ασθενείς με μειωμένο επίπεδο συνείδησης. Κατά τ' άλλα, δεν συνιστάται προφυλακτική αντιεπιληπτική αγωγή, σύμφωνα με τις κατευθυντήριες οδηγίες της Αμερικανικής Εταιρείας Εγκεφαλικών Επεισοδίων [American Stroke Association - ASA].[27]
Χειρουργική Αντιμετώπιση
Οι διάφοροι τύποι χειρουργικής αντιμετώπισης αιμορραγικού εγκεφαλικού επεισοδίου (hemorrhagic stroke) είναι η κρανιοτομία (craniotomy), η αποσυμπιεστική κρανιεκτομή (decompressive craniectomy), στερεοτακτική αναρρόφηση (stereotactic aspiration), η ενδοσκοπική αναρρόφηση (endoscopic aspiration), και η διακαθετηριακή αναρρόφηση (catheter aspiration).[4]
Η μελέτη STICH δεν κατέδειξε συνολικό όφελος από την εφαρμογή έγκαιρης χειρουργικής επέμβασης σε υπερσκηνιδιακή ενδοεγκεφαλική αιμορραγία συγκριτικά με εφαρμογή αρχικής συντηρητικής θεραπείας.[28]
Όσοι έχουν λοβώδεις αιμορραγίες σε απόσταση μικρότερη του 1 cm από την επιφάνεια του εγκεφάλου και ηπιότερα κλινικά ελλείμματα (GCS>9) μπορεί να έχουν όφελος από την εφαρμογή έγκαιρης χειρουργικής επέμβασης.
Επείγουσα χειρουργική αφαίρεση - εκκένωση (emergency surgical evacuation) του αιματώματος ενδείκνυται σε παρεγκεφαλιδική αιμορραγία με υδροκέφαλο ή συμπίεση του εγκεφαλικού στελέχους.[21]
Ασθενείς με παρεγκεφαλιδικές αιμορραγίες διαμέτρου > 3 cm θα έχουν καλύτερα αποτελέσματα με χειρουργική επέμβαση.
Το παρεγκεφαλιδικό αιμάτωμα εκκενώνεται με υπινιακή κρανιεκτομή (suboccipital craniectomy).
Η εκκένωση των αιμορραγιών του εγκεφαλικού στελέχους μπορεί να είναι επιβλαβής και δεν συνιστάται.
Η στερεοτακτική αναρρόφηση (stereotactic aspiration), μια ελάχιστα επεμβατική χειρουργική παρέμβαση (minimally invasive procedure), βρίσκεται υπό μελέτη.
O Hattori et al. κατέδειξε σε μια τυχαιοποιημένη μελέτη ότι η εφαρμογή σερεοτακτικής αφαίρεσης αιματώματος έχει αξία σε ασθενείς με αυτόματη αιμορραγία στα βασικά γάγγλια (putaminal hemorrhage), των οποίων τα μάτια ανοίγουν ως απόκριση σε ισχυρά ερεθίσματα.[29]
Η ελάχιστα επεμβατική χειρουργική παρέμβαση μαζί με ανασυνδυασμένο ενεργοποιητή ιστικού πλασμινογόνου (rt-PA) για την αφαίρεση (εκκένωση) ενδοεγκεφαλικής αιμορραγίας (MISTIE) ήταν μια τυχαιοποιημένη, προοπτική μελέτη που εξέτασε την απεικονιστικά καθοδηγούμενη (Image-guided) δια μέσου καθετήρος αφαίρεση του θρόμβου αίματος.[30] Έδειξε μείωση του περιαιματωματικού οιδήματος (οιδήματος γύρω από το αιμάτωμα) μετά την εκκένωση του θρόμβου.
Η Διάλυση του Θρόμβου (The Clot Lysis):
Η αξιολόγηση της επιταχυνόμενης λύσης της ενδοκοιλιακής αιμορραγίας (μελέτη CLEAR IVH) έδειξε ότι rt-PA σε χαμηλή δόση, μπορεί να χορηγηθεί με ασφάλεια σε σταθερούς ενδοκοιλιακούς θρόμβους και μπορεί να αυξήσει τα ποσοστά λύσης της αιμορραγίας.[31]
Η αποσυμπιεστική κρανιεκτομή και η εκκένωση αιματώματος εφαρμόζονται πλέον πιο συχνά για αιμορραγικό εγκεφαλικό επεισόδιο.
Οι Moussa και Khedr έδειξαν τη βελτίωση της έκβασης που αποκτήθηκε προσθέτοντας αποσυμπιεστική κρανιεκτομή με εκτεταμένη σκληροπλαστική στην εκκένωση μεγάλου υπερτασικού ημισφαιρικού ενδοεγκεφαλικού αιματώμτος σε μια τυχαιοποιημένη ελεγχόμενη μελέτη.[32]
Η αποσυμπιεστική ημικράνιεκτομή (Decompressive Hemicraniectomy) με εκκένωση αιματώματος πραγματοποιείται σε ασθενείς με βαθμολογία GCS 8 ή μικρότερη και μεγάλα αιματώματα με όγκο μεγαλύτερο από 60 ml.[33] Μειώνει την θνητότητα και μπορεί να βελτιώσει την λειτουργική έκβαση.
Εγκεφαλοπροστασία (Cerebroprotection)
Η δευτερογενής βλάβη σε αιμορραγικό εγκεφαλικό επεισόδιο περιλαμβάνει φλεγμονή, οξειδωτικό στρες και τοξικότητα των κατακερματισμένων ερυθροκυττάρων (erythrocyte lysates) και της θρομβίνης.
Έτσι, δοκιμάζονται στρατηγικές για τη μείωση αυτών των φαινομένων. Η πιογλιταζόνη (pioglitazone), η μισοπροστόλη (misoprostol) και η σελεκοξίμπη (celecoxib) έχουν δοκιμαστεί για την μείωση της φλεγμονώδους βλάβης.
Η εδαραβόνη (edaravone), το φλαβονοειδές (flavonoid) και το μονονουκλεοτίδιο νικοτιναμιδίου (nicotinamide mononucleotide) μπορούν να μειώσουν το οξειδωτικό στρες.
Ο χηλικός παράγοντας σιδήρου (iron chelator) δεφεροξαμίνη (deferoxamine) βρίσκεται επίσης σε πειραματική φάση.
Η ασφάλεια και η νευροπροστατευτική αποτελεσματικότητα του συστατικού της κυτταρικής μεμβράνης κυτοχολίνη (cytidine-5-diphosphocholine) έχει αποδειχθεί σε ορισμένες μελέτες.[34]
Η ροσουβαστατίνη, ένας ανταγωνιστικός αναστολέας του ενζύμου αναγωγάση του 3-υδροξυ-3-μεθυλγλουταρυλ συνενζύμου Α, συσχετίστηκε με καλύτερο αποτέλεσμα σε μια μελέτη. Ο αναστολέας διαύλων ασβεστίου νιμοδιπίνη βελτιώνει τα αποτελέσματα στην υπαραχνοειδή αιμορραγία (SAH) με νευροπροστατευτική δράση.[35][35]
Γενική Φροντίδα (General Care)
Η καλή ιατρική περίθαλψη, η νοσηλευτική φροντίδα και η αποκατάσταση είναι πρωταρχικής σημασίας.[20]
Συνηθισμένα προβλήματα αποτελούν η δυσφαγία, η εισρόφηση, οι καρδιακές αρρυθμίες, η μυοκαρδιοπάθεια που προκαλείται από στρες, η καρδιακή ανεπάρκεια, η οξεία νεφρική βλάβη, η γαστρεντερική αιμορραγία, η λοίμωξη του ουροποιητικού συστήματος κ.λπ.
Μπορεί να χρειαστεί διαδερμική ενδοσκοπική γαστροστομία [Percutaneous endoscopic gastrostomy (PEG)] για την πρόληψη της εισρόφησης.
Συνιστάται έλεγχος για ισχαιμία του μυοκαρδίου με ηλεκτροκαρδιογράφημα και έλεγχο καρδιακών ενζύμων σε αιμορραγικό εγκεφαλικό επεισόδιο. Η εφαρμογή συσκευής διαλείπουσας συμπίεσης με πεπιεσμένο αέρα στα κάτω άκρα (Intermittent Pneumatic Compression - IPC), μειώνει την εμφάνιση εν τω βάθει φλεβικής θρόμβωσης, αλλά η χρησιμότητα των ελαστικών καλτσών είναι αμφίβολη. Συνιστάται συμβολή πολλών ειδικοτήτων (multidisciplinary team approach) στην αποκατάσταση για τη μείωση της αναπηρίας. Θα πρέπει να παρακολουθείται η γλυκόζη του αίματος και να λαμβάνονται μέτρα για την πρόληψη τόσο της υπεργλυκαιμίας όσο και της υπογλυκαιμίας.[36]
Διαφορική Διάγνωση (Differential Diagnosis)
Η διαφορική διάγνωση του αιμορραγικού ΑΕΕ περιλαμβάνει:
- Οξεία Υπερτασική Κρίση (Acute Hypertensive Crisis)
- Αποπληξία υπόφυσης (Pituitary Apoplexy)
- Θρόμβωση Εγκεφαλικής Φλέβας (Cerebral Venous Thrombosis)
- Θρόμβωση Φλεβώδους Κόλπου Εγκεφάλου (Dural Sinus Thrombosis)
- Διαχωρισμός Σπονδυλικής Αρτηρίας (Cervical Artery Dissection)
- Αναστρέψιμο εγκεφαλικό αγγειοσυσπαστικό σύνδρομο [Reversible Cerebral Vasoconstricitve Syndrome - (RCVS)]
- Αιμορραγία νεοπλασματικού όγκου εγκεφάλου (Hemorhagic neoplasm)
- Αρτηριο-Φλεβική Διαμαρτία (Arterio-Venous Malformation)
- Μηνιγγίτιδα (Meningitis)
- Οξύ Υποσκληρίδιο Αιμάτωμα (Acute Subdural Hematoma)
- Αιμορραγικό Έμφρακτο (Hemorrhagic Infarct)
Απεικονιστικές εξετάσεις όπως η Αξονική Τομογραφία (CT) και η Μαγνητική Τομογραφία (MRI) μπορούν να αποκλείσουν αυτές τις διαγνώσεις.[37]
Πρόγνωση (Prognosis)
Οι παράγοντες φτωχής πρόγνωσης[5] είναι :
Το κώμα, ως αρχική εκδήλωση της κλινικής παρουσίασης της εγκεφαλικής αιμορραγίας, υποδηλώνει βαρειά πρόγνωση.
Η Αμερικανική Εταιρεία Εγκεφαλικού Επεισοδίου συστήνει η παρακολούθηση και η αντιμετπώπιση ασθενών με εγκεφαλική αιμορραγία (ICH) να γίνεται σε ειδικές μονάδες (Stoke Units).
Στους 6 μήνες, μόνο το 20% των ασθενών καθίστανται ανεξάρτητοι.
Οι επιζώντες μπορεί να εισέλθουν σε μια εμμένουσα "φυτική" κατάσταση (persistent vegetative state) ή σε σύνδρομο εγκλεισμού (Locked-In Syndrome) σε περίπτωση εκτεταμένης ημισφαιρικής βλάβης ή εμπλοκής του εγκεφαλικού στελέχους, αντίστοιχα.
Πρόγνωση (Prognosis)
Οι παράγοντες φτωχής πρόγνωσης[5] είναι :
- κώμα
- αιμάτωμα με όγκο μεγαλύτερο από 30 ml
- ενδοκοιλιακή αιμορραγία (intraventricular hemorrhage)
- αιμορραγία στον οπίσθιο κρανιακό βόθρο (posterior fossa hemorrhage)
- Μεγάλη ηλικία (> 80 έτη)
- Υπεργλυκαιμία
- Χρονία Νεφρική Νόσος
Το κώμα, ως αρχική εκδήλωση της κλινικής παρουσίασης της εγκεφαλικής αιμορραγίας, υποδηλώνει βαρειά πρόγνωση.
Η Αμερικανική Εταιρεία Εγκεφαλικού Επεισοδίου συστήνει η παρακολούθηση και η αντιμετπώπιση ασθενών με εγκεφαλική αιμορραγία (ICH) να γίνεται σε ειδικές μονάδες (Stoke Units).
Στους 6 μήνες, μόνο το 20% των ασθενών καθίστανται ανεξάρτητοι.
Οι επιζώντες μπορεί να εισέλθουν σε μια εμμένουσα "φυτική" κατάσταση (persistent vegetative state) ή σε σύνδρομο εγκλεισμού (Locked-In Syndrome) σε περίπτωση εκτεταμένης ημισφαιρικής βλάβης ή εμπλοκής του εγκεφαλικού στελέχους, αντίστοιχα.
ICH Score
Η βαθμολογία εγκεφαλικής αιμορραγίας (ICH Score) εισήχθη από τους Hemphill et al. και προβλέπει την θνητότητα.[38][39]
Η βαθμολόγηση γίνεται ως ακολούθως:
GCS : 3 -4 (2 points) Age: > 80 years (1 point) infratentorial location (1 point)
GCS : 5-12 (1 point) Age: < 80 years (0 point) supratentorial location (0 point)
GCS : 13-15 (0 point)
ICH volume > 30 ml (1 point) Intraventricular Hemorrhage (1 point)
ICH volume < 30 ml (0 point) No intraventricular Hemorrhage (0 point)
Η θνητότητα στις 30 ημέρες προσδιορίζεται ως ακολούθως:
0 βαθμοί = 0%, 1 βαθμός = 13%, 2 βαθμοί = 26%, 3 βαθμοί = 72%, 4 βαθμοί = 97% και > 5 βαθμοί = 100%.
Επιπλοκές (Complications)
Οι επιπλοκές της ενδοεγκεφαλικής αιμορραγίας συνίστανται σε εγκεφαλικό οίδημα (cerebral edema), αυξημένη ενδοκράνια πίεση (increased intracranial pressure), υδροκέφαλο (hydrocephalus), επιληπτικούς σπασμούς (seizures), φλεβικές θρομβώσεις (venous thrombotic events), υπεργλυκαιμία (hyperglycemia), αυξημένη αρτηριακή πίεση (increased blood pressure), πυρετό (fever), κια λοιμώξεις (infections).[40]
Οι ασθενείς με εγκεφαλική αιμορραγία, ειδικά δε οι γυναίκες, διατρέχουν κίνδυνο θρομβοεμβολικής νόσου.[20]
Σχεδόν το 1/3 των ασθενών με εγκεφαλική αιμορραγία θα αναπτύξουν πνευμονολογικές επιπλοκές όπως πνευμονία, εισρόφηση, πνευμονικό οίδημα, αναπνευστική ανεπάρκεια και αναπνευστική δυσχέρεια.
Περίπου 4% των ασθενών με εγκεφαλική αιμορραγία θα εμφανίσουν καρδιολογικές επιπλοκές όπως έμφραγμα μυοκαρδίου, κολπική μαρμαρυγή, κοιλιακή ταχυκαρδία και κοιλιακή μαρμαρυγή, μυοκαρδιοπάθεια από stress (stress-induced cardiomyopathy και οξεία καρδιακή ανεπάρκεια.[41]
Οι επιπλοκές της υπαραχνοειδούς αιμορραγίας (SAH) είναι ο αγγειόσπασμος (Vasospasm), η ισχαιμία, η υποτροπή της αιμορραγιας (rebleeding), οι σπασμοί (seizure), η υπονατριαιμία και ο υδροκέφαλος (hydrocephalus). Νευρογενές πνευμονικό οίδημα (Neurogenic pulmonary edema), με αύξηση στην ποσότητα του διάμεσου και του κυψελιδικού υγρού, συμβαίνει συχνά σε υπαραχνοειδή αιμορραγία (subarachnoid hemorrhage).[42]
Εκπαίδευση ασθενών - Μέτρα αποτροπής (Deterrence and Patient Education)
Υπάρχει πιθανότητα επανεμφάνισης της εγκεφαλικής αιμορραγίας. Η αρτηριακή υπέρταση και η μεγάλη ηλικία αποτελούν παράγοντες κινδύνου. Η ΑΠ πρέπει να είναι υπό έλεγχο. Αλλαγές στον τρόπο ζωής (Lifestyle modifications) συστήνονται στους ασθενείς συμπεριλαμβανομένων της αποφυγής χρήσης αλκοόλης, διακοπής του καπνίσματος και χρήσης άλλων ουσιών. Επιβάλλεται συνεχής διεπιστημονική (multidisciplinary) αποκατάσταση (rehabilitation).
Πιθανοί παράγοντες κινδύνου για επανεμφάνιση εγκεφαλικής αιμορραγίας (Possible Risk Factors for Recurrent ICH):
Οι ασθενείς με αιμορραγικό εγκεφαλικό θα πρέπει να αντιμετωπίζονται σε ειδική μονάδα εγκεφαλικού επεισοδίου (Stroke Unit) με επείγουσα και εντατική φροντίδα, και κάλυψη από ειδικότητες νευρολογίας, νευροχειρουργικής και νευροακτινολογίας για το καλύτερο αποτέλεσμα.
Oι εντατικολόγοι (intnsivists), οι γιατροί και οι νοσηλευτές της εντατικής θεραπείας θα πρέπει να είναι καλά εκπαιδευμένοι και γνώστες της επείγουσας νευρολογικής υποστήριξης της ζωής (ENLS).
Αυτό είναι ιδιαίτερα απαραίτητο σε χώρες χαμηλού και μεσαίου εισοδήματος. Οι χειρουργικές μέθοδοι θα πρέπει να εφαρμόζονται αλλά και να αξιολογούνται με τυποποιημένο τρόπο. Απαιτούνται περισσότερες μελέτες για να επιβεβαιωθεί ο ρόλος και η χρησιμότητα των χειρουργικών επεμβάσεων. Η θεραπεία γνωστικής αποκατάστασης (Cognitive Rehabilitation Therapy - CRT) θα πρέπει επίσης να παρέχεται στους επιζώντες.
References
1. Chen S, Zeng L, Hu Z. Progressing haemorrhagic stroke: categories, causes, mechanisms and managements. J Neurol. 2014 Nov;261(11):2061-78. [PMC free article] [PubMed]
2. Kitagawa K. Blood pressure management for secondary stroke prevention. Hypertens Res. 2022 Jun;45(6):936-943. [PubMed]
3. Castello JP, Pasi M, Kubiszewski P, Abramson JR, Charidimou A, Kourkoulis C, DiPucchio Z, Schwab K, Anderson CD, Gurol ME, Greenberg SM, Rosand J, Viswanathan A, Biffi A. Cerebral Small Vessel Disease and Depression Among Intracerebral Hemorrhage Survivors. Stroke. 2022 Feb;53(2):523-531. [PMC free article] [PubMed]
4. Ojaghihaghighi S, Vahdati SS, Mikaeilpour A, Ramouz A. Comparison of neurological clinical manifestation in patients with hemorrhagic and ischemic stroke. World J Emerg Med. 2017;8(1):34-38. [PMC free article] [PubMed]
5. An SJ, Kim TJ, Yoon BW. Epidemiology, Risk Factors, and Clinical Features of Intracerebral Hemorrhage: An Update. J Stroke. 2017 Jan;19(1):3-10. [PMC free article] [PubMed]
6. Magid-Bernstein J, Girard R, Polster S, Srinath A, Romanos S, Awad IA, Sansing LH. Cerebral Hemorrhage: Pathophysiology, Treatment, and Future Directions. Circ Res. 2022 Apr 15;130(8):1204-1229. [PubMed]
7. Aronowski J, Zhao X. Molecular pathophysiology of cerebral hemorrhage: secondary brain injury. Stroke. 2011 Jun;42(6):1781-6. [PMC free article] [PubMed]
8. Matsuyama T, Okuchi K, Seki T, Higuchi T, Murao Y. Perimesencephalic nonaneurysmal subarachnoid hemorrhage caused by physical exertion. Neurol Med Chir (Tokyo). 2006 Jun;46(6):277-81; discussion 281-2. [PubMed]
9. Coelho LG, Costa JM, Silva EI. Non-aneurysmal spontaneous subarachnoid hemorrhage: perimesencephalic versus non-perimesencephalic. Rev Bras Ter Intensiva. 2016 Jun;28(2):141-6. [PMC free article] [PubMed]
10. Fekadu G, Chelkeba L, Kebede A. Risk factors, clinical presentations and predictors of stroke among adult patients admitted to stroke unit of Jimma university medical center, south west Ethiopia: prospective observational study. BMC Neurol. 2019 Aug 07;19(1):187. [PMC free article] [PubMed]
11. Kushner MJ, Bressman SB. The clinical manifestations of pontine hemorrhage. Neurology. 1985 May;35(5):637-43. [PubMed]
12. Hakimi R, Garg A. Imaging of Hemorrhagic Stroke. Continuum (Minneap Minn). 2016 Oct;22(5, Neuroimaging):1424-1450. [PubMed]
13. Smith EE, Rosand J, Greenberg SM. Hemorrhagic stroke. Neuroimaging Clin N Am. 2005 May;15(2):259-72, ix. [PubMed]
14. Kazui S, Minematsu K, Yamamoto H, Sawada T, Yamaguchi T. Predisposing factors to enlargement of spontaneous intracerebral hematoma. Stroke. 1997 Dec;28(12):2370-5. [PubMed]
15. Broderick JP, Brott TG, Duldner JE, Tomsick T, Huster G. Volume of intracerebral hemorrhage. A powerful and easy-to-use predictor of 30-day mortality. Stroke. 1993 Jul;24(7):987-93. [PubMed]
16. Macellari F, Paciaroni M, Agnelli G, Caso V. Neuroimaging in intracerebral hemorrhage. Stroke. 2014 Mar;45(3):903-8. [PubMed]
17. Becker KJ, Baxter AB, Bybee HM, Tirschwell DL, Abouelsaad T, Cohen WA. Extravasation of radiographic contrast is an independent predictor of death in primary intracerebral hemorrhage. Stroke. 1999 Oct;30(10):2025-32. [PubMed]
18. Delgado Almandoz JE, Romero JM. Advanced CT imaging in the evaluation of hemorrhagic stroke. Neuroimaging Clin N Am. 2011 May;21(2):197-213, ix. [PubMed]
19. Siddiqui FM, Bekker SV, Qureshi AI. Neuroimaging of hemorrhage and vascular defects. Neurotherapeutics. 2011 Jan;8(1):28-38. [PMC free article] [PubMed]
20. Hemphill JC, Greenberg SM, Anderson CS, Becker K, Bendok BR, Cushman M, Fung GL, Goldstein JN, Macdonald RL, Mitchell PH, Scott PA, Selim MH, Woo D., American Heart Association Stroke Council. Council on Cardiovascular and Stroke Nursing. Council on Clinical Cardiology. Guidelines for the Management of Spontaneous Intracerebral Hemorrhage: A Guideline for Healthcare Professionals From the American Heart Association/American Stroke Association. Stroke. 2015 Jul;46(7):2032-60. [PubMed]
21. Schlunk F, Kuthe J, Harmel P, Audebert H, Hanning U, Bohner G, Scheel M, Kleine J, Nawabi J. Volumetric accuracy of different imaging modalities in acute intracerebral hemorrhage. BMC Med Imaging. 2022 Jan 15;22(1):9. [PMC free article] [PubMed]
22. Berlit P. Diagnosis and treatment of cerebral vasculitis. Ther Adv Neurol Disord. 2010 Jan;3(1):29-42. [PMC free article] [PubMed]
23. Lapchak PA, Araujo DM. Advances in hemorrhagic stroke therapy: conventional and novel approaches. Expert Opin Emerg Drugs. 2007 Sep;12(3):389-406. [PubMed]
24. Qureshi AI, Palesch YY, Martin R, Novitzke J, Cruz-Flores S, Ehtisham A, Ezzeddine MA, Goldstein JN, Hussein HM, Suri MF, Tariq N., Antihypertensive Treatment of Acute Cerebral Hemorrhage Study Investigators. Effect of systolic blood pressure reduction on hematoma expansion, perihematomal edema, and 3-month outcome among patients with intracerebral hemorrhage: results from the antihypertensive treatment of acute cerebral hemorrhage study. Arch Neurol. 2010 May;67(5):570-6. [PMC free article] [PubMed]
25. Anderson CS, Huang Y, Arima H, Heeley E, Skulina C, Parsons MW, Peng B, Li Q, Su S, Tao QL, Li YC, Jiang JD, Tai LW, Zhang JL, Xu E, Cheng Y, Morgenstern LB, Chalmers J, Wang JG., INTERACT Investigators. Effects of early intensive blood pressure-lowering treatment on the growth of hematoma and perihematomal edema in acute intracerebral hemorrhage: the Intensive Blood Pressure Reduction in Acute Cerebral Haemorrhage Trial (INTERACT). Stroke. 2010 Feb;41(2):307-12. [PubMed]
26. Mayer SA, Brun NC, Begtrup K, Broderick J, Davis S, Diringer MN, Skolnick BE, Steiner T., FAST Trial Investigators. Efficacy and safety of recombinant activated factor VII for acute intracerebral hemorrhage. N Engl J Med. 2008 May 15;358(20):2127-37. [PubMed]
27. Gigliotti MJ, Srikanth S, Cockroft KM. Patterns of prophylactic anticonvulsant use in spontaneous intracerebral and subarachnoid hemorrhage: results of a practitioner survey. Neurol Sci. 2022 Mar;43(3):1873-1877. [PubMed]
28. Mendelow AD, Gregson BA, Fernandes HM, Murray GD, Teasdale GM, Hope DT, Karimi A, Shaw MD, Barer DH., STICH investigators. Early surgery versus initial conservative treatment in patients with spontaneous supratentorial intracerebral haematomas in the International Surgical Trial in Intracerebral Haemorrhage (STICH): a randomised trial. 2005 Jan 29-Feb 4Lancet. 365(9457):387-97. [PubMed]
29. Hattori N, Katayama Y, Maya Y, Gatherer A. Impact of stereotactic hematoma evacuation on activities of daily living during the chronic period following spontaneous putaminal hemorrhage: a randomized study. J Neurosurg. 2004 Sep;101(3):417-20. [PubMed]
30. Mould WA, Carhuapoma JR, Muschelli J, Lane K, Morgan TC, McBee NA, Bistran-Hall AJ, Ullman NL, Vespa P, Martin NA, Awad I, Zuccarello M, Hanley DF., MISTIE Investigators. Minimally invasive surgery plus recombinant tissue-type plasminogen activator for intracerebral hemorrhage evacuation decreases perihematomal edema. Stroke. 2013 Mar;44(3):627-34. [PMC free article] [PubMed]
31. Morgan T, Awad I, Keyl P, Lane K, Hanley D. Preliminary report of the clot lysis evaluating accelerated resolution of intraventricular hemorrhage (CLEAR-IVH) clinical trial. Acta Neurochir Suppl. 2008;105:217-20. [PubMed]
32. Moussa WM, Khedr W. Decompressive craniectomy and expansive duraplasty with evacuation of hypertensive intracerebral hematoma, a randomized controlled trial. Neurosurg Rev. 2017 Jan;40(1):115-127. [PubMed]
33. Takeuchi S, Wada K, Nagatani K, Otani N, Mori K. Decompressive hemicraniectomy for spontaneous intracerebral hemorrhage. Neurosurg Focus. 2013 May;34(5):E5. [PubMed]
34. Kellner CP, Connolly ES. Neuroprotective strategies for intracerebral hemorrhage: trials and translation. Stroke. 2010 Oct;41(10 Suppl):S99-102. [PubMed]
35. Laskowitz DT, Kolls BJ. Neuroprotection in subarachnoid hemorrhage. Stroke. 2010 Oct;41(10 Suppl):S79-84. [PMC free article] [PubMed]
36. Lin J, Cai C, Xie Y, Yi L. Acute glycemic variability and mortality of patients with acute stroke: a meta-analysis. Diabetol Metab Syndr. 2022 May 10;14(1):69. [PMC free article] [PubMed]
37. Linn J, Brückmann H. Differential diagnosis of nontraumatic intracerebral hemorrhage. Klin Neuroradiol. 2009 Mar;19(1):45-61. [PubMed]
38. Hemphill JC, Bonovich DC, Besmertis L, Manley GT, Johnston SC. The ICH score: a simple, reliable grading scale for intracerebral hemorrhage. Stroke. 2001 Apr;32(4):891-7. [PubMed]
39. Trevisi G, Caccavella VM, Scerrati A, Signorelli F, Salamone GG, Orsini K, Fasciani C, D'Arrigo S, Auricchio AM, D'Onofrio G, Salomi F, Albanese A, De Bonis P, Mangiola A, Sturiale CL. Machine learning model prediction of 6-month functional outcome in elderly patients with intracerebral hemorrhage. Neurosurg Rev. 2022 Aug;45(4):2857-2867. [PMC free article] [PubMed]
40. Balami JS, Buchan AM. Complications of intracerebral haemorrhage. Lancet Neurol. 2012 Jan;11(1):101-18. [PubMed]
41. Putaala J, Lehto M, Meretoja A, Silvennoinen K, Curtze S, Kääriäinen J, Koivunen RJ, Kaste M, Tatlisumak T, Strbian D. In-hospital cardiac complications after intracerebral hemorrhage. Int J Stroke. 2014 Aug;9(6):741-6. [PubMed]
42. Al-Dhahir MA, M Das J, Sharma S. StatPearls [Internet]. StatPearls Publishing; Treasure Island (FL): Jul 18, 2022. Neurogenic Pulmonary Edema. [PubMed]
Η βαθμολογία εγκεφαλικής αιμορραγίας (ICH Score) εισήχθη από τους Hemphill et al. και προβλέπει την θνητότητα.[38][39]
Η βαθμολόγηση γίνεται ως ακολούθως:
GCS : 3 -4 (2 points) Age: > 80 years (1 point) infratentorial location (1 point)
GCS : 5-12 (1 point) Age: < 80 years (0 point) supratentorial location (0 point)
GCS : 13-15 (0 point)
ICH volume > 30 ml (1 point) Intraventricular Hemorrhage (1 point)
ICH volume < 30 ml (0 point) No intraventricular Hemorrhage (0 point)
Η θνητότητα στις 30 ημέρες προσδιορίζεται ως ακολούθως:
0 βαθμοί = 0%, 1 βαθμός = 13%, 2 βαθμοί = 26%, 3 βαθμοί = 72%, 4 βαθμοί = 97% και > 5 βαθμοί = 100%.
Επιπλοκές (Complications)
Οι επιπλοκές της ενδοεγκεφαλικής αιμορραγίας συνίστανται σε εγκεφαλικό οίδημα (cerebral edema), αυξημένη ενδοκράνια πίεση (increased intracranial pressure), υδροκέφαλο (hydrocephalus), επιληπτικούς σπασμούς (seizures), φλεβικές θρομβώσεις (venous thrombotic events), υπεργλυκαιμία (hyperglycemia), αυξημένη αρτηριακή πίεση (increased blood pressure), πυρετό (fever), κια λοιμώξεις (infections).[40]
Οι ασθενείς με εγκεφαλική αιμορραγία, ειδικά δε οι γυναίκες, διατρέχουν κίνδυνο θρομβοεμβολικής νόσου.[20]
Σχεδόν το 1/3 των ασθενών με εγκεφαλική αιμορραγία θα αναπτύξουν πνευμονολογικές επιπλοκές όπως πνευμονία, εισρόφηση, πνευμονικό οίδημα, αναπνευστική ανεπάρκεια και αναπνευστική δυσχέρεια.
Περίπου 4% των ασθενών με εγκεφαλική αιμορραγία θα εμφανίσουν καρδιολογικές επιπλοκές όπως έμφραγμα μυοκαρδίου, κολπική μαρμαρυγή, κοιλιακή ταχυκαρδία και κοιλιακή μαρμαρυγή, μυοκαρδιοπάθεια από stress (stress-induced cardiomyopathy και οξεία καρδιακή ανεπάρκεια.[41]
Οι επιπλοκές της υπαραχνοειδούς αιμορραγίας (SAH) είναι ο αγγειόσπασμος (Vasospasm), η ισχαιμία, η υποτροπή της αιμορραγιας (rebleeding), οι σπασμοί (seizure), η υπονατριαιμία και ο υδροκέφαλος (hydrocephalus). Νευρογενές πνευμονικό οίδημα (Neurogenic pulmonary edema), με αύξηση στην ποσότητα του διάμεσου και του κυψελιδικού υγρού, συμβαίνει συχνά σε υπαραχνοειδή αιμορραγία (subarachnoid hemorrhage).[42]
Εκπαίδευση ασθενών - Μέτρα αποτροπής (Deterrence and Patient Education)
Υπάρχει πιθανότητα επανεμφάνισης της εγκεφαλικής αιμορραγίας. Η αρτηριακή υπέρταση και η μεγάλη ηλικία αποτελούν παράγοντες κινδύνου. Η ΑΠ πρέπει να είναι υπό έλεγχο. Αλλαγές στον τρόπο ζωής (Lifestyle modifications) συστήνονται στους ασθενείς συμπεριλαμβανομένων της αποφυγής χρήσης αλκοόλης, διακοπής του καπνίσματος και χρήσης άλλων ουσιών. Επιβάλλεται συνεχής διεπιστημονική (multidisciplinary) αποκατάσταση (rehabilitation).
Πιθανοί παράγοντες κινδύνου για επανεμφάνιση εγκεφαλικής αιμορραγίας (Possible Risk Factors for Recurrent ICH):
- Αρχική εγκεφαλική αιμορραγία που έχει κατανομή εγκεφαλικού λοβού (Lobar Location)
- Μεγάλη ηλικία
- Παρουσία και αριθμός μικροαιμορραγιών που διαπιστώνονται στην MRI ηχογενούς διαβάθμισης (Gradient Echo MRI)
- Συνεχιζόμενη αντιπηκτική αγωγή
- Παρουσία απολιποπρωτεΐνης Ε ε2 ή ε4 γονιδιακών αλληλικών παραλλαγών (alleles) [20]
Οι ασθενείς με αιμορραγικό εγκεφαλικό θα πρέπει να αντιμετωπίζονται σε ειδική μονάδα εγκεφαλικού επεισοδίου (Stroke Unit) με επείγουσα και εντατική φροντίδα, και κάλυψη από ειδικότητες νευρολογίας, νευροχειρουργικής και νευροακτινολογίας για το καλύτερο αποτέλεσμα.
Oι εντατικολόγοι (intnsivists), οι γιατροί και οι νοσηλευτές της εντατικής θεραπείας θα πρέπει να είναι καλά εκπαιδευμένοι και γνώστες της επείγουσας νευρολογικής υποστήριξης της ζωής (ENLS).
Αυτό είναι ιδιαίτερα απαραίτητο σε χώρες χαμηλού και μεσαίου εισοδήματος. Οι χειρουργικές μέθοδοι θα πρέπει να εφαρμόζονται αλλά και να αξιολογούνται με τυποποιημένο τρόπο. Απαιτούνται περισσότερες μελέτες για να επιβεβαιωθεί ο ρόλος και η χρησιμότητα των χειρουργικών επεμβάσεων. Η θεραπεία γνωστικής αποκατάστασης (Cognitive Rehabilitation Therapy - CRT) θα πρέπει επίσης να παρέχεται στους επιζώντες.
References
1. Chen S, Zeng L, Hu Z. Progressing haemorrhagic stroke: categories, causes, mechanisms and managements. J Neurol. 2014 Nov;261(11):2061-78. [PMC free article] [PubMed]
2. Kitagawa K. Blood pressure management for secondary stroke prevention. Hypertens Res. 2022 Jun;45(6):936-943. [PubMed]
3. Castello JP, Pasi M, Kubiszewski P, Abramson JR, Charidimou A, Kourkoulis C, DiPucchio Z, Schwab K, Anderson CD, Gurol ME, Greenberg SM, Rosand J, Viswanathan A, Biffi A. Cerebral Small Vessel Disease and Depression Among Intracerebral Hemorrhage Survivors. Stroke. 2022 Feb;53(2):523-531. [PMC free article] [PubMed]
4. Ojaghihaghighi S, Vahdati SS, Mikaeilpour A, Ramouz A. Comparison of neurological clinical manifestation in patients with hemorrhagic and ischemic stroke. World J Emerg Med. 2017;8(1):34-38. [PMC free article] [PubMed]
5. An SJ, Kim TJ, Yoon BW. Epidemiology, Risk Factors, and Clinical Features of Intracerebral Hemorrhage: An Update. J Stroke. 2017 Jan;19(1):3-10. [PMC free article] [PubMed]
6. Magid-Bernstein J, Girard R, Polster S, Srinath A, Romanos S, Awad IA, Sansing LH. Cerebral Hemorrhage: Pathophysiology, Treatment, and Future Directions. Circ Res. 2022 Apr 15;130(8):1204-1229. [PubMed]
7. Aronowski J, Zhao X. Molecular pathophysiology of cerebral hemorrhage: secondary brain injury. Stroke. 2011 Jun;42(6):1781-6. [PMC free article] [PubMed]
8. Matsuyama T, Okuchi K, Seki T, Higuchi T, Murao Y. Perimesencephalic nonaneurysmal subarachnoid hemorrhage caused by physical exertion. Neurol Med Chir (Tokyo). 2006 Jun;46(6):277-81; discussion 281-2. [PubMed]
9. Coelho LG, Costa JM, Silva EI. Non-aneurysmal spontaneous subarachnoid hemorrhage: perimesencephalic versus non-perimesencephalic. Rev Bras Ter Intensiva. 2016 Jun;28(2):141-6. [PMC free article] [PubMed]
10. Fekadu G, Chelkeba L, Kebede A. Risk factors, clinical presentations and predictors of stroke among adult patients admitted to stroke unit of Jimma university medical center, south west Ethiopia: prospective observational study. BMC Neurol. 2019 Aug 07;19(1):187. [PMC free article] [PubMed]
11. Kushner MJ, Bressman SB. The clinical manifestations of pontine hemorrhage. Neurology. 1985 May;35(5):637-43. [PubMed]
12. Hakimi R, Garg A. Imaging of Hemorrhagic Stroke. Continuum (Minneap Minn). 2016 Oct;22(5, Neuroimaging):1424-1450. [PubMed]
13. Smith EE, Rosand J, Greenberg SM. Hemorrhagic stroke. Neuroimaging Clin N Am. 2005 May;15(2):259-72, ix. [PubMed]
14. Kazui S, Minematsu K, Yamamoto H, Sawada T, Yamaguchi T. Predisposing factors to enlargement of spontaneous intracerebral hematoma. Stroke. 1997 Dec;28(12):2370-5. [PubMed]
15. Broderick JP, Brott TG, Duldner JE, Tomsick T, Huster G. Volume of intracerebral hemorrhage. A powerful and easy-to-use predictor of 30-day mortality. Stroke. 1993 Jul;24(7):987-93. [PubMed]
16. Macellari F, Paciaroni M, Agnelli G, Caso V. Neuroimaging in intracerebral hemorrhage. Stroke. 2014 Mar;45(3):903-8. [PubMed]
17. Becker KJ, Baxter AB, Bybee HM, Tirschwell DL, Abouelsaad T, Cohen WA. Extravasation of radiographic contrast is an independent predictor of death in primary intracerebral hemorrhage. Stroke. 1999 Oct;30(10):2025-32. [PubMed]
18. Delgado Almandoz JE, Romero JM. Advanced CT imaging in the evaluation of hemorrhagic stroke. Neuroimaging Clin N Am. 2011 May;21(2):197-213, ix. [PubMed]
19. Siddiqui FM, Bekker SV, Qureshi AI. Neuroimaging of hemorrhage and vascular defects. Neurotherapeutics. 2011 Jan;8(1):28-38. [PMC free article] [PubMed]
20. Hemphill JC, Greenberg SM, Anderson CS, Becker K, Bendok BR, Cushman M, Fung GL, Goldstein JN, Macdonald RL, Mitchell PH, Scott PA, Selim MH, Woo D., American Heart Association Stroke Council. Council on Cardiovascular and Stroke Nursing. Council on Clinical Cardiology. Guidelines for the Management of Spontaneous Intracerebral Hemorrhage: A Guideline for Healthcare Professionals From the American Heart Association/American Stroke Association. Stroke. 2015 Jul;46(7):2032-60. [PubMed]
21. Schlunk F, Kuthe J, Harmel P, Audebert H, Hanning U, Bohner G, Scheel M, Kleine J, Nawabi J. Volumetric accuracy of different imaging modalities in acute intracerebral hemorrhage. BMC Med Imaging. 2022 Jan 15;22(1):9. [PMC free article] [PubMed]
22. Berlit P. Diagnosis and treatment of cerebral vasculitis. Ther Adv Neurol Disord. 2010 Jan;3(1):29-42. [PMC free article] [PubMed]
23. Lapchak PA, Araujo DM. Advances in hemorrhagic stroke therapy: conventional and novel approaches. Expert Opin Emerg Drugs. 2007 Sep;12(3):389-406. [PubMed]
24. Qureshi AI, Palesch YY, Martin R, Novitzke J, Cruz-Flores S, Ehtisham A, Ezzeddine MA, Goldstein JN, Hussein HM, Suri MF, Tariq N., Antihypertensive Treatment of Acute Cerebral Hemorrhage Study Investigators. Effect of systolic blood pressure reduction on hematoma expansion, perihematomal edema, and 3-month outcome among patients with intracerebral hemorrhage: results from the antihypertensive treatment of acute cerebral hemorrhage study. Arch Neurol. 2010 May;67(5):570-6. [PMC free article] [PubMed]
25. Anderson CS, Huang Y, Arima H, Heeley E, Skulina C, Parsons MW, Peng B, Li Q, Su S, Tao QL, Li YC, Jiang JD, Tai LW, Zhang JL, Xu E, Cheng Y, Morgenstern LB, Chalmers J, Wang JG., INTERACT Investigators. Effects of early intensive blood pressure-lowering treatment on the growth of hematoma and perihematomal edema in acute intracerebral hemorrhage: the Intensive Blood Pressure Reduction in Acute Cerebral Haemorrhage Trial (INTERACT). Stroke. 2010 Feb;41(2):307-12. [PubMed]
26. Mayer SA, Brun NC, Begtrup K, Broderick J, Davis S, Diringer MN, Skolnick BE, Steiner T., FAST Trial Investigators. Efficacy and safety of recombinant activated factor VII for acute intracerebral hemorrhage. N Engl J Med. 2008 May 15;358(20):2127-37. [PubMed]
27. Gigliotti MJ, Srikanth S, Cockroft KM. Patterns of prophylactic anticonvulsant use in spontaneous intracerebral and subarachnoid hemorrhage: results of a practitioner survey. Neurol Sci. 2022 Mar;43(3):1873-1877. [PubMed]
28. Mendelow AD, Gregson BA, Fernandes HM, Murray GD, Teasdale GM, Hope DT, Karimi A, Shaw MD, Barer DH., STICH investigators. Early surgery versus initial conservative treatment in patients with spontaneous supratentorial intracerebral haematomas in the International Surgical Trial in Intracerebral Haemorrhage (STICH): a randomised trial. 2005 Jan 29-Feb 4Lancet. 365(9457):387-97. [PubMed]
29. Hattori N, Katayama Y, Maya Y, Gatherer A. Impact of stereotactic hematoma evacuation on activities of daily living during the chronic period following spontaneous putaminal hemorrhage: a randomized study. J Neurosurg. 2004 Sep;101(3):417-20. [PubMed]
30. Mould WA, Carhuapoma JR, Muschelli J, Lane K, Morgan TC, McBee NA, Bistran-Hall AJ, Ullman NL, Vespa P, Martin NA, Awad I, Zuccarello M, Hanley DF., MISTIE Investigators. Minimally invasive surgery plus recombinant tissue-type plasminogen activator for intracerebral hemorrhage evacuation decreases perihematomal edema. Stroke. 2013 Mar;44(3):627-34. [PMC free article] [PubMed]
31. Morgan T, Awad I, Keyl P, Lane K, Hanley D. Preliminary report of the clot lysis evaluating accelerated resolution of intraventricular hemorrhage (CLEAR-IVH) clinical trial. Acta Neurochir Suppl. 2008;105:217-20. [PubMed]
32. Moussa WM, Khedr W. Decompressive craniectomy and expansive duraplasty with evacuation of hypertensive intracerebral hematoma, a randomized controlled trial. Neurosurg Rev. 2017 Jan;40(1):115-127. [PubMed]
33. Takeuchi S, Wada K, Nagatani K, Otani N, Mori K. Decompressive hemicraniectomy for spontaneous intracerebral hemorrhage. Neurosurg Focus. 2013 May;34(5):E5. [PubMed]
34. Kellner CP, Connolly ES. Neuroprotective strategies for intracerebral hemorrhage: trials and translation. Stroke. 2010 Oct;41(10 Suppl):S99-102. [PubMed]
35. Laskowitz DT, Kolls BJ. Neuroprotection in subarachnoid hemorrhage. Stroke. 2010 Oct;41(10 Suppl):S79-84. [PMC free article] [PubMed]
36. Lin J, Cai C, Xie Y, Yi L. Acute glycemic variability and mortality of patients with acute stroke: a meta-analysis. Diabetol Metab Syndr. 2022 May 10;14(1):69. [PMC free article] [PubMed]
37. Linn J, Brückmann H. Differential diagnosis of nontraumatic intracerebral hemorrhage. Klin Neuroradiol. 2009 Mar;19(1):45-61. [PubMed]
38. Hemphill JC, Bonovich DC, Besmertis L, Manley GT, Johnston SC. The ICH score: a simple, reliable grading scale for intracerebral hemorrhage. Stroke. 2001 Apr;32(4):891-7. [PubMed]
39. Trevisi G, Caccavella VM, Scerrati A, Signorelli F, Salamone GG, Orsini K, Fasciani C, D'Arrigo S, Auricchio AM, D'Onofrio G, Salomi F, Albanese A, De Bonis P, Mangiola A, Sturiale CL. Machine learning model prediction of 6-month functional outcome in elderly patients with intracerebral hemorrhage. Neurosurg Rev. 2022 Aug;45(4):2857-2867. [PMC free article] [PubMed]
40. Balami JS, Buchan AM. Complications of intracerebral haemorrhage. Lancet Neurol. 2012 Jan;11(1):101-18. [PubMed]
41. Putaala J, Lehto M, Meretoja A, Silvennoinen K, Curtze S, Kääriäinen J, Koivunen RJ, Kaste M, Tatlisumak T, Strbian D. In-hospital cardiac complications after intracerebral hemorrhage. Int J Stroke. 2014 Aug;9(6):741-6. [PubMed]
42. Al-Dhahir MA, M Das J, Sharma S. StatPearls [Internet]. StatPearls Publishing; Treasure Island (FL): Jul 18, 2022. Neurogenic Pulmonary Edema. [PubMed]